提醒成功

搜索
Rabbit Polyclonal Antibody to STAT2(Ab-690)
-
货号:
P41556 -
别名:
P113; ISGF-3; STAT113 -
应用:
WB,IHC -
反应种属:
Human -
抗体类型:
Primary antibody -
Swissprot:
P52630 -
规格:
-
数量:
-+ -
说明书:
目录价¥1980

Rabbit Polyclonal Antibody to STAT2(Ab-690)
Description |
---|
STAT2 encoded by this gene is a member of the STAT protein family. In response to cytokines and growth factors, STAT family members are phosphorylated by the receptor associated kinases, and then form homo- or heterodimers that translocate to the cell nucleus where they act as transcription activators. In response to interferon (IFN), this protein forms a complex with STAT1 and IFN regulatory factor family protein p48 (ISGF3G), in which this protein acts as a transactivator, but lacks the ability to bind DNA directly. Transcription adaptor P300/CBP (EP300/CREBBP) has been shown to interact specifically with this protein, which is thought to be involved in the process of blocking IFN-a response by adenovirus. |
References |
---|
Fu, X. et al. (1992) Biochemistry 89, 7840-7843.Park, C. et al. (2000) Immunity 13, 795-804.Horvath, C. et al. (1996) Molecular and Cellular Biology 16, 6957-6964.Improta, T. et al. (1994) Proc. Natl. Acad. Sci. USA 91, 4776-4780. |
Specification |
|
---|---|
Aliases | P113; ISGF-3; STAT113 |
Entrez GeneID | 6773; |
Swissprot | P52630 |
WB Predicted band size | 113kDa |
Host/Isotype | Rabbit IgG |
Antibody Type | Primary antibody |
Storage | Store at 4°C short term. Aliquot and store at -20°C long term. Avoid freeze/thaw cycles. |
Species Reactivity | Human |
Immunogen | Peptide sequence around aa.688~692 (R-K-Y-L-K) derived from Human STAT2. |
Formulation | Purified antibody in PBS with 0.05% sodium azide. |
Application |
|
---|---|
WB | 1/500-1/1000 |
IHC | 1/50-1/100 |
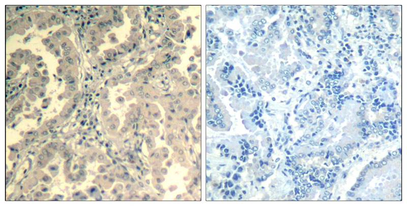
Product Image
- Western blot analysis of extracts from Hela cells using STAT2(Ab-690) Antibody P41556 and the same antibody preincubated with blocking peptide.
- Immunohistochemical analysis of paraffin-embedded human lung carcinoma tissue using STAT2(Ab-690) Antibody P41556(left) or the same antibody preincubated with blocking peptide(right).
For Reseach Only
Application Key:WB - Western Blot | IHC - Immunohistochemistry | ICC - Immunocytochemistry | FCM - Flow Cytometry | ELISA - Enzyme-linked Immunosorbent Assay | IP - Immunoprecipitation
#P41556

相关产品


