提醒成功
搜索
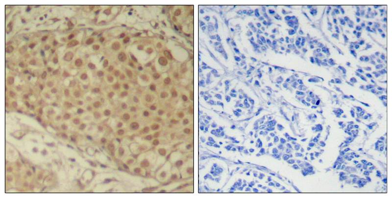
Rabbit Polyclonal Antibody to Smad2(Ab-220)
-
货号:
P41505 -
别名:
JV18-1; MADH2; MADR2; Mad-related protein 2; Mothers against DPP homolog 2 -
应用:
WB,IHC -
反应种属:
Human,Mouse,Rat -
抗体类型:
Primary antibody -
Swissprot:
Q15796 -
规格:
-
数量:
-+ -
说明书:
目录价¥1980
Rabbit Polyclonal Antibody to Smad2(Ab-220)
Description |
|---|
Transcriptional modulator activated by TGF-beta and activin type 1 receptor kinase. SMAD2 is a receptor-regulated SMAD (R-SMAD). May act as a tumor suppressor in colorectal carcinoma. |
References |
|---|
| Sang Gyun Kim et al. (2004) Mol Biol Cell. February; 15(2): 420 |
Specification |
|
|---|---|
| Aliases | JV18-1; MADH2; MADR2; Mad-related protein 2; Mothers against DPP homolog 2 |
| Entrez GeneID | 4087; |
| Swissprot | Q15796 |
| WB Predicted band size | 60kDa |
| Host/Isotype | Rabbit IgG |
| Antibody Type | Primary antibody |
| Storage | Store at 4°C short term. Aliquot and store at -20°C long term. Avoid freeze/thaw cycles. |
| Species Reactivity | Human,Mouse,Rat |
| Immunogen | Peptide sequence around aa.218~222 (P-E-T-P-P) derived from Human Smad2. |
| Formulation | Liquid in PBS containing 50% glycerol, 0.5% BSA and 0.02% sodium azide. |
Application |
|
|---|---|
| WB | 1/500-1/1000 |
| IHC | 1/50-1/100 |
Product Image
For Reseach Only
Application Key:WB - Western Blot | IHC - Immunohistochemistry | ICC - Immunocytochemistry | FCM - Flow Cytometry | ELISA - Enzyme-linked Immunosorbent Assay | IP - Immunoprecipitation
#P41505
相关产品

微信/QQ登录


首页
