提醒成功
搜索
Rabbit Polyclonal Antibody to SHP-2(Ab-580)
-
货号:
P41502 -
别名:
Protein-tyrosine phosphatase 2C -
应用:
WB,IHC,IF -
反应种属:
Human,Mouse,Rat -
抗体类型:
Primary antibody -
Swissprot:
Q06124 -
规格:
-
数量:
-+ -
说明书:
目录价¥1980
Rabbit Polyclonal Antibody to SHP-2(Ab-580)
Description |
|---|
Acts downstream of various receptor and cytoplasmic protein tyrosine kinases to participate in the signal transduction from the cell surface to the nucleus. |
References |
|---|
| Ferjoux G, et al. (2003) Mol Biol Cell. 2003; 14(9): 3911-3928.Shi ZQ, et al. (2000) Mol Cell Biol ; 20(5): 1526-1536. |
Specification |
|
|---|---|
| Aliases | Protein-tyrosine phosphatase 2C |
| Entrez GeneID | 5781; |
| Swissprot | Q06124 |
| WB Predicted band size | 72kDa |
| Host/Isotype | Rabbit IgG |
| Antibody Type | Primary antibody |
| Storage | Store at 4°C short term. Aliquot and store at -20°C long term. Avoid freeze/thaw cycles. |
| Species Reactivity | Human,Mouse,Rat |
| Immunogen | Peptide sequence around aa.578~582 (R-V-Y-E-N) derived from Human SHP-2. |
| Formulation | Liquid in PBS containing 50% glycerol, 0.5% BSA and 0.02% sodium azide. |
Application |
|
|---|---|
| WB | 1/500-1/1000 |
| IHC | 1/50-1/100 |
| IF/ICC | 1/100-1/200 |
Product Image
- Western blot analysis of extracts from 293 cells using SHP-2(Ab-580) Antibody P41502.
- Immunofluorescence staining of methanol-fixed Hela cells using SHP-2(Ab-580) Antibody P41502.
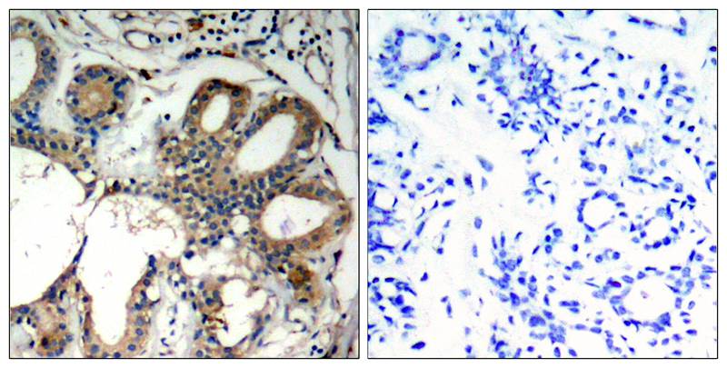
- Immunohistochemical analysis of paraffin-embedded human breast carcinoma tissue using SHP-2(Ab-580) Antibody P41502(left) or the same antibody preincubated with blocking peptide(right).
For Reseach Only
Application Key:WB - Western Blot | IHC - Immunohistochemistry | ICC - Immunocytochemistry | FCM - Flow Cytometry | ELISA - Enzyme-linked Immunosorbent Assay | IP - Immunoprecipitation
#P41502
相关产品

微信/QQ登录


首页
