提醒成功
搜索
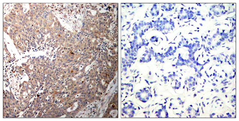
Rabbit Polyclonal Antibody to Keratin 18(Ab-33)
-
货号:
P41492 -
别名:
CK 18; CK18; CYK18; Cytokeratin endo B; K18 -
应用:
WB,IHC -
反应种属:
Human -
抗体类型:
Primary antibody -
Swissprot:
P05783 -
规格:
-
数量:
-+ -
说明书:
目录价¥1980
Rabbit Polyclonal Antibody to Keratin 18(Ab-33)
Description |
|---|
KRT18 encodes the type I intermediate filament chain keratin 18. Keratin 18, together with its filament partner keratin 8, are perhaps the most commonly found members of the intermediate filament gene family. They are expressed in single layer epithelial tissues of the body. utations in this gene have been linked to cryptogenic cirrhosis. Two transcript variants encoding the same protein have been found for this gene. |
References |
|---|
| Ramaekers, F.C. and Bosman, F.T. (2004) J. Pathol. 204, 351-354.Chang, L. and Goldman, R.D. (2004) Nat. Rev. Mol. Cell Biol. 5, 601-613.Moll, R. et al. (1982) Cell 31, 11-24. |
Specification |
|
|---|---|
| Aliases | CK 18; CK18; CYK18; Cytokeratin endo B; K18 |
| Entrez GeneID | 3875; |
| Swissprot | P05783 |
| WB Predicted band size | 46kDa |
| Host/Isotype | Rabbit IgG |
| Antibody Type | Primary antibody |
| Storage | Store at 4°C short term. Aliquot and store at -20°C long term. Avoid freeze/thaw cycles. |
| Species Reactivity | Human |
| Immunogen | Peptide sequence around aa.31~35 (A-A-S-V-Y) derived from Human Keratin 18 (CK18). |
| Formulation | Liquid in PBS containing 50% glycerol, 0.5% BSA and 0.02% sodium azide. |
Application |
|
|---|---|
| WB | 1/500-1/1000 |
| IHC | 1/50-1/100 |
Product Image
For Reseach Only
Application Key:WB - Western Blot | IHC - Immunohistochemistry | ICC - Immunocytochemistry | FCM - Flow Cytometry | ELISA - Enzyme-linked Immunosorbent Assay | IP - Immunoprecipitation
#P41492
相关产品

微信/QQ登录


首页
