提醒成功
搜索
Rabbit Polyclonal Antibody to IGF-1R(Ab-1346)
-
货号:
P41490 -
别名:
Insulin-like growth factor I receptor; CD221; IGF1R; kinase IGF1R; -
应用:
WB,IHC -
反应种属:
Human,Mouse,Rat -
抗体类型:
Primary antibody -
Swissprot:
P08069 -
规格:
-
数量:
-+ -
说明书:
目录价¥1980
Rabbit Polyclonal Antibody to IGF-1R(Ab-1346)
Description |
|---|
This receptor binds insulin-like growth factor 1 (IGF1) with a high affinity and IGF2 with a lower affinity. It has a tyrosine-protein kinase activity, which is necessary for the activation of the IGF1-stimulated downstream signaling cascade. When present in a hybrid receptor with INSR, binds IGF1. |
References |
|---|
| Adams, T.E. et al. (2000) Cell. Mol. Life Sci. 57, 1050-1093Baserga, R. et al. (2000) Oncogene 19, 5574-5581Scheidegger, K.J. et al. (2000) J. Biol. Chem. 275, 38921-38928.O'Connor R, et al. Mol Cell Biol 1997 Jan; 17(1): 427-35 |
Specification |
|
|---|---|
| Aliases | Insulin-like growth factor I receptor; CD221; IGF1R; kinase IGF1R; |
| Entrez GeneID | 3480; |
| Swissprot | P08069 |
| WB Predicted band size | 200 95 kDa |
| Host/Isotype | Rabbit IgG |
| Antibody Type | Primary antibody |
| Storage | Store at 4°C short term. Aliquot and store at -20°C long term. Avoid freeze/thaw cycles. |
| Species Reactivity | Human,Mouse,Rat |
| Immunogen | Peptide sequence around aa.1344~1348 (Q-P-Y-A-H) derived from Human IGF-1R . |
| Formulation | Liquid in PBS containing 50% glycerol, 0.5% BSA and 0.02% sodium azide. |
Application |
|
|---|---|
| WB | 1/500-1/1000 |
| IHC | 1/50-1/100 |
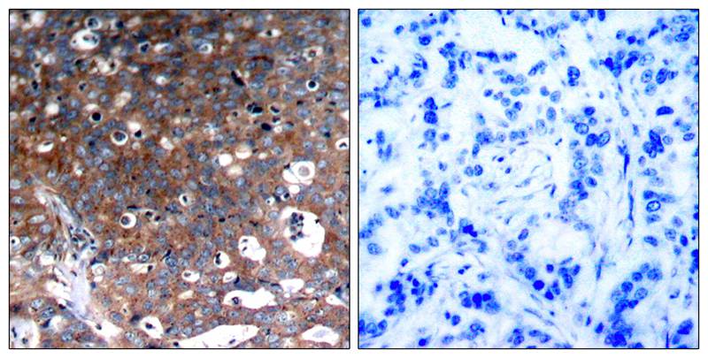
Product Image
- Western blot analysis of extracts from 293 cells using IGF-1R(Ab-1346) Antibody P41490 and the same antibody preincubated with blocking peptide.
- Immunohistochemical analysis of paraffin-embedded human breast carcinoma tissue using IGF-1R(Ab-1346) Antibody P41490(left) or the same antibody preincubated with blocking peptide(right).
For Reseach Only
Application Key:WB - Western Blot | IHC - Immunohistochemistry | ICC - Immunocytochemistry | FCM - Flow Cytometry | ELISA - Enzyme-linked Immunosorbent Assay | IP - Immunoprecipitation
#P41490
相关产品

微信/QQ登录


首页
