提醒成功
搜索
Rabbit Polyclonal Antibody to HSP90B(Ab-254)
-
货号:
P41481 -
别名:
HSP 84 -
应用:
WB,IHC,IF -
反应种属:
Human,Mouse,Rat -
抗体类型:
Primary antibody -
Swissprot:
P08238 -
规格:
-
数量:
-+ -
说明书:
目录价¥1980
Rabbit Polyclonal Antibody to HSP90B(Ab-254)
Description |
|---|
Molecular chaperone. Has ATPase activity. |
References |
|---|
| Ingrid K. Ruf, et,al. (2005) J. Virol ; 79: 14562 - 14569.Christy M. Hebner,et,al. (2006) J. Gen. Virol ; 87: 3183 - 3193.Rika van Huizen, et,al. (2003) J. Biol. Chem ; 278: 15558 - 15564. |
Specification |
|
|---|---|
| Aliases | HSP 84 |
| Entrez GeneID | 3326; |
| Swissprot | P08238 |
| WB Predicted band size | 92kDa |
| Host/Isotype | Rabbit IgG |
| Antibody Type | Primary antibody |
| Storage | Store at 4°C short term. Aliquot and store at -20°C long term. Avoid freeze/thaw cycles. |
| Species Reactivity | Human,Mouse,Rat |
| Immunogen | Peptide sequence around aa. 252~256 (V-G-S-D-E) derived from Human HSP90B. |
| Formulation | Liquid in PBS containing 50% glycerol, 0.5% BSA and 0.02% sodium azide. |
Application |
|
|---|---|
| WB | 1/500-1/1000 |
| IHC | 1/50-1/100 |
| IF/ICC | 1/100-1/200 |
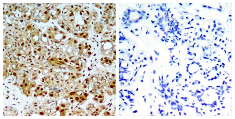
Product Image
- Western blot analysis of extracts from Hela and A2780 cells using HSP90B(Ab-254) Antibody P41481.
- Immunofluorescence staining of methanol-fixed Hela cells showing cytoplasmic staining using HSP90B(Ab-254) Antibody P41481.
- Immunohistochemical analysis of paraffin-embedded human breast carcinoma tissue using HSP90B(Ab-254) Antibody P41481(left) or the same antibody preincubated with blocking peptide(right).
For Reseach Only
Application Key:WB - Western Blot | IHC - Immunohistochemistry | ICC - Immunocytochemistry | FCM - Flow Cytometry | ELISA - Enzyme-linked Immunosorbent Assay | IP - Immunoprecipitation
#P41481
相关产品

微信/QQ登录


首页
