提醒成功
搜索
Rabbit Polyclonal Antibody to MEK1(Ab-291)
-
货号:
P41477 -
别名:
ERK activator kinase 1; MAP kinase kinase 1; MAP2K1; MAPK/ERK kinase 1; MAPKK 1 -
应用:
WB,IHC -
反应种属:
Human,Mouse,Rat -
抗体类型:
Primary antibody -
Swissprot:
Q02750 -
规格:
-
数量:
-+ -
说明书:
目录价¥1980
Rabbit Polyclonal Antibody to MEK1(Ab-291)
Description |
|---|
Catalyzes the concomitant phosphorylation of a threonine and a tyrosine residue in a Thr-Glu-Tyr sequence located in MAP kinases. Activates ERK1 and ERK2 MAP kinases. |
References |
|---|
| Kevin D. Burroughs, et,al. (2003) Mol. Cancer Res ; 1: 312. Michael J. Piatelli, et,al. (2002) J. Biol. Chem ; 277: 12144 - 12150. Margaret M. Morgan, et,al. (2001) J. Immunol ; 167: 5708. Herbert Schramek, et,al. (2003) Am J Physiol Cell Physiol, ; 285: C652 - C661. |
Specification |
|
|---|---|
| Aliases | ERK activator kinase 1; MAP kinase kinase 1; MAP2K1; MAPK/ERK kinase 1; MAPKK 1 |
| Entrez GeneID | 5604; |
| Swissprot | Q02750 |
| WB Predicted band size | 45kDa |
| Host/Isotype | Rabbit IgG |
| Antibody Type | Primary antibody |
| Storage | Store at 4°C short term. Aliquot and store at -20°C long term. Avoid freeze/thaw cycles. |
| Species Reactivity | Human,Mouse,Rat |
| Immunogen | Peptide sequence around aa. 289~293 (P-R-T-P-G) derived from Human MEK1. |
| Formulation | Liquid in PBS containing 50% glycerol, 0.5% BSA and 0.02% sodium azide. |
Application |
|
|---|---|
| WB | 1/500-1/1000 |
| IHC | 1/50-1/100 |
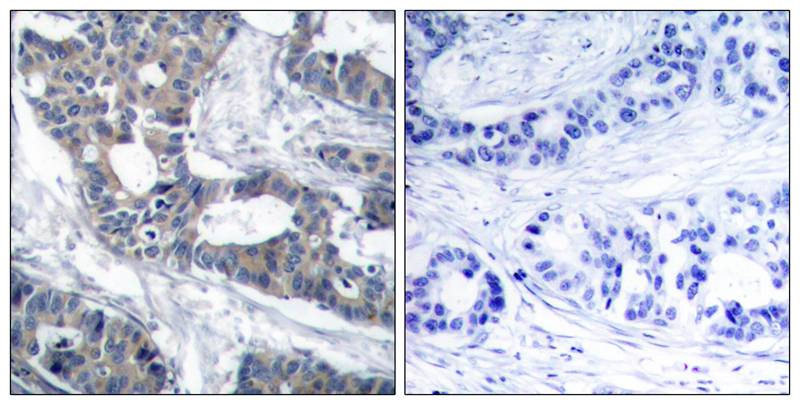
Product Image
For Reseach Only
Application Key:WB - Western Blot | IHC - Immunohistochemistry | ICC - Immunocytochemistry | FCM - Flow Cytometry | ELISA - Enzyme-linked Immunosorbent Assay | IP - Immunoprecipitation
#P41477
相关产品

微信/QQ登录


首页
