提醒成功
搜索
Rabbit Polyclonal Antibody to NFkB-p105(Ab-932)
-
货号:
P41441 -
别名:
DNA-binding factor KBF1; EBP-1; NF-kappa-B1 p84/NF-kappa-B1 p98; NFKB1; NFkB-p50 -
应用:
WB,IHC -
反应种属:
Human,Mouse,Rat -
抗体类型:
Primary antibody -
Swissprot:
P19838 -
规格:
-
数量:
-+ -
说明书:
目录价¥1980
Rabbit Polyclonal Antibody to NFkB-p105(Ab-932)
Description |
|---|
NF-kappa-B is a pleiotropic transcription factor which is present in almost all cell types and is involved in many biological processed such as inflammation, immunity, differentiation, cell growth, tumorigenesis and apoptosis. NF-kappa-B is a homo- or heterodimeric complex formed by the Rel-like domain-containing proteins RELA/p65, RELB, NFKB1/p105, NFKB1/p50, REL and NFKB2/p52. The dimers bind at kappa-B sites in the DNA of their target genes and the individual dimers have distinct preferences for different kappa-B sites that they can bind with distinguishable affinity and specificity. Different dimer combinations act as transcriptional activators or repressors, respectively. |
References |
|---|
| Soren Beinke et al. (2004) Biochem J. 382(Pt 2): 393 |
Specification |
|
|---|---|
| Aliases | DNA-binding factor KBF1; EBP-1; NF-kappa-B1 p84/NF-kappa-B1 p98; NFKB1; NFkB-p50 |
| Entrez GeneID | 4790; |
| Swissprot | P19838 |
| WB Predicted band size | 120 kDa |
| Host/Isotype | Rabbit IgG |
| Antibody Type | Primary antibody |
| Storage | Store at 4°C short term. Aliquot and store at -20°C long term. Avoid freeze/thaw cycles. |
| Species Reactivity | Human,Mouse,Rat |
| Immunogen | Peptide sequence around aa.930~934 (E-T-S-F-R) derived from Human NFkB-p105. |
| Formulation | Liquid in PBS containing 50% glycerol, 0.5% BSA and 0.02% sodium azide. |
Application |
|
|---|---|
| WB | 1/500-1/1000 |
| IHC | 1/50-1/100 |
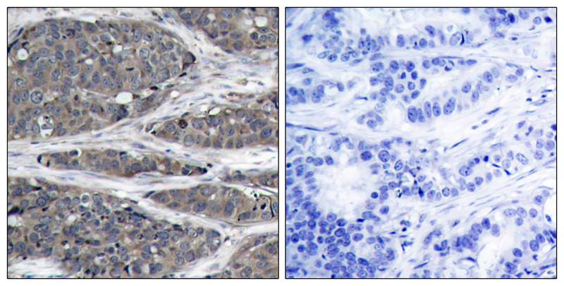
Product Image
- Western blot analysis of extracts from Hela cells using NFκB-p105 (Ab-932) Antibody P41441 and the same antibody preincubated with blocking peptide.
- Immunohistochemical analysis of paraffin-embedded human breast carcinoma tissue using NFkB-p105(Ab-932) Antibody P41441(left) or the same antibody preincubated with blocking peptide(right).
For Reseach Only
Application Key:WB - Western Blot | IHC - Immunohistochemistry | ICC - Immunocytochemistry | FCM - Flow Cytometry | ELISA - Enzyme-linked Immunosorbent Assay | IP - Immunoprecipitation
#P41441
相关产品

微信/QQ登录


首页
