提醒成功
搜索
Rabbit Polyclonal Antibody to SAPK/JNK(Ab-183)
-
货号:
P41440 -
别名:
JNK2 -
应用:
WB,IHC -
反应种属:
Human,Mouse,Rat -
抗体类型:
Primary antibody -
Swissprot:
P45984 -
规格:
-
数量:
-+ -
说明书:
目录价¥1980
Rabbit Polyclonal Antibody to SAPK/JNK(Ab-183)
Description |
|---|
Responds to activation by environmental stress and pro-inflammatory cytokines by phosphorylating a number of transcription factors, primarily components of AP-1 such as c-Jun and ATF2 and thus regulates AP-1 transcriptional activity. In T-cells, JNK1 and JNK2 are required for polarized differentiation of T-helper cells into Th1 cells. |
References |
|---|
| Ferrer, et al. (2003) Neuropathology & Applied Neurobiology 29: 23 Zhonghong Guan, et al. (1999) J Biol Chem, Vol. 274: 36200-36206D.Margriet Ouwens1, et al. (2002)The EMBO Journal 21: 3782 |
Specification |
|
|---|---|
| Aliases | JNK2 |
| Entrez GeneID | 5601; |
| Swissprot | P45984 |
| WB Predicted band size | 46 54 kDa |
| Host/Isotype | Rabbit IgG |
| Antibody Type | Primary antibody |
| Storage | Store at 4°C short term. Aliquot and store at -20°C long term. Avoid freeze/thaw cycles. |
| Species Reactivity | Human,Mouse,Rat |
| Immunogen | Peptide sequence around aa.181~185 (M-M-T-P-Y) derived from Human SAPK/JNK. |
| Formulation | Liquid in PBS containing 50% glycerol, 0.5% BSA and 0.02% sodium azide. |
Application |
|
|---|---|
| WB | 1/500-1/1000 |
| IHC | 1/50-1/100 |
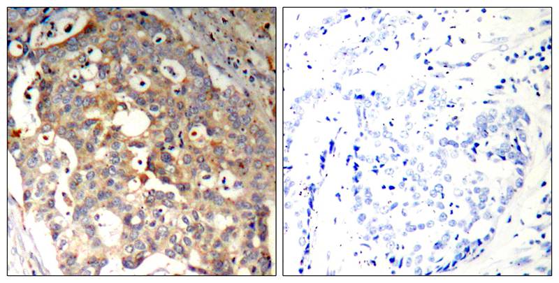
Product Image
For Reseach Only
Application Key:WB - Western Blot | IHC - Immunohistochemistry | ICC - Immunocytochemistry | FCM - Flow Cytometry | ELISA - Enzyme-linked Immunosorbent Assay | IP - Immunoprecipitation
#P41440
相关产品

微信/QQ登录


首页
