提醒成功
搜索
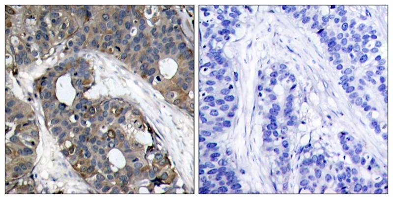
Rabbit Polyclonal Antibody to HSP27(Ab-82)
-
货号:
P41439 -
别名:
28 kDa heat shock protein; Estrogen-regulated 24 kDa protein; Growth-related 25 kDa protein; HSP 27; HSP25 -
应用:
WB,IHC -
反应种属:
Human -
抗体类型:
Primary antibody -
Swissprot:
P04792 -
规格:
-
数量:
-+ -
说明书:
目录价¥1980
Rabbit Polyclonal Antibody to HSP27(Ab-82)
Description |
|---|
Involved in stress resistance and actin organization. |
Specification |
|
|---|---|
| Aliases | 28 kDa heat shock protein; Estrogen-regulated 24 kDa protein; Growth-related 25 kDa protein; HSP 27; HSP25 |
| Entrez GeneID | 3315; |
| Swissprot | P04792 |
| WB Predicted band size | 27kDa |
| Host/Isotype | Rabbit IgG |
| Antibody Type | Primary antibody |
| Storage | Store at 4°C short term. Aliquot and store at -20°C long term. Avoid freeze/thaw cycles. |
| Species Reactivity | Human |
| Immunogen | Peptide sequence around aa. 80~84 (Q-L-S-S-G) derived from Human HSP27. |
| Formulation | Liquid in PBS containing 50% glycerol, 0.5% BSA and 0.02% sodium azide. |
Application |
|
|---|---|
| WB | 1/500-1/1000 |
| IHC | 1/50-1/100 |
Product Image
For Reseach Only
Application Key:WB - Western Blot | IHC - Immunohistochemistry | ICC - Immunocytochemistry | FCM - Flow Cytometry | ELISA - Enzyme-linked Immunosorbent Assay | IP - Immunoprecipitation
#P41439
相关产品

微信/QQ登录


首页
