提醒成功
搜索
Rabbit Polyclonal Antibody to CDC2(Ab-15)
-
货号:
P41435 -
别名:
CDC28; CDC2A; CDK1; Cyclin-dependent kinase 1; -
应用:
WB,IHC,IF -
反应种属:
Human,Mouse,Rat -
抗体类型:
Primary antibody -
Swissprot:
P06493 -
规格:
-
数量:
-+ -
说明书:
目录价¥1980
Rabbit Polyclonal Antibody to CDC2(Ab-15)
Description |
|---|
Plays a key role in the control of the eukaryotic cell cycle. It is required in higher cells for entry into S-phase and mitosis. p34 is a component of the kinase complex that phosphorylates the repetitive C-terminus of RNA polymerase II. |
References |
|---|
| Y Gu, et al. (1992) EMBO J. 11(11): 3995 |
Specification |
|
|---|---|
| Aliases | CDC28; CDC2A; CDK1; Cyclin-dependent kinase 1; |
| Entrez GeneID | 983; |
| Swissprot | P06493 |
| WB Predicted band size | 34kDa |
| Host/Isotype | Rabbit IgG |
| Antibody Type | Primary antibody |
| Storage | Store at 4°C short term. Aliquot and store at -20°C long term. Avoid freeze/thaw cycles. |
| Species Reactivity | Human,Mouse,Rat |
| Immunogen | Peptide sequence around aa. 13~17 (G-T-Y-G-V) derived from Human CDC2. |
| Formulation | Liquid in PBS containing 50% glycerol, 0.5% BSA and 0.02% sodium azide. |
Application |
|
|---|---|
| WB | 1/500-1/1000 |
| IHC | 1/50-1/100 |
| IF/ICC | 1/100-1/200 |
Product Image
- Western blot analysis of extracts from Hela and MCF cells using CDC2(Ab-15) Antibody P41435.
- Immunofluorescence staining of methanol-fixed Hela cells using CDC2(Ab-15) Antibody P41435.
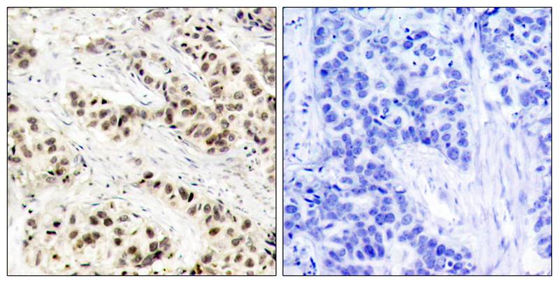
- Immunohistochemical analysis of paraffin-embedded human breast carcinoma tissue using CDC2(Ab-15) Antibody P41435(left) or the same antibody preincubated with blocking peptide(right).
For Reseach Only
Application Key:WB - Western Blot | IHC - Immunohistochemistry | ICC - Immunocytochemistry | FCM - Flow Cytometry | ELISA - Enzyme-linked Immunosorbent Assay | IP - Immunoprecipitation
#P41435
相关产品

微信/QQ登录


首页
