提醒成功
搜索
Rabbit Polyclonal Antibody to eIF4E(Ab-209)
-
货号:
P41429 -
别名:
mRNA cap-binding protein; eIF-4F 25 kDa subunit; -
应用:
WB,IHC,IF -
反应种属:
Human,Mouse,Rat -
抗体类型:
Primary antibody -
Swissprot:
P06730 -
规格:
-
数量:
-+ -
说明书:
目录价¥1980
Rabbit Polyclonal Antibody to eIF4E(Ab-209)
Description |
|---|
Recognizes and binds the 7-methylguanosine-containing mRNA cap during an early step in the initiation of protein synthesis and facilitates ribosome binding by inducing the unwinding of the mRNAs secondary structures. |
References |
|---|
| Li BD, et al. (1998) Ann Surg; 227(5): 756-763Altmann M, et al. (1989) Nucleic Acids Res; 17(18): 7520De Gregorio E, et al. (2001) RNA; 7(1): 106-113Gu W, et al. (2004) Nucleic Acids Res; 32(15): 4448-4461Ohlmann T, et al. (1996) EMBO J; 15(6): 1371-1382 |
Specification |
|
|---|---|
| Aliases | mRNA cap-binding protein; eIF-4F 25 kDa subunit; |
| Entrez GeneID | 1977; |
| Swissprot | P06730 |
| WB Predicted band size | 25kDa |
| Host/Isotype | Rabbit IgG |
| Antibody Type | Primary antibody |
| Storage | Store at 4°C short term. Aliquot and store at -20°C long term. Avoid freeze/thaw cycles. |
| Species Reactivity | Human,Mouse,Rat |
| Immunogen | Peptide sequence around aa. 207~211 (S-G-S-T-T) derived from Human eIF4E. |
| Formulation | Liquid in PBS containing 50% glycerol, 0.5% BSA and 0.02% sodium azide. |
Application |
|
|---|---|
| WB | 1/500-1/1000 |
| IHC | 1/50-1/100 |
| IF/ICC | 1/100-1/200 |
Product Image
- Western blot analysis of extracts from Hela, HepG2 and 293 cells using eIF4E(Ab-209) Antibody P41429.
- Immunofluorescence staining of methanol-fixed Hela cells using eIF4E(Ab-209) Antibody P41429.
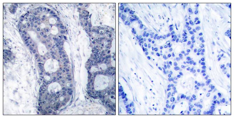
- Immunohistochemical analysis of paraffin-embedded human breast carcinoma tissue using eIF4E(Ab-209) Antibody P41429(left) or the same antibody preincubated with blocking peptide(right).
For Reseach Only
Application Key:WB - Western Blot | IHC - Immunohistochemistry | ICC - Immunocytochemistry | FCM - Flow Cytometry | ELISA - Enzyme-linked Immunosorbent Assay | IP - Immunoprecipitation
#P41429
相关产品

微信/QQ登录


首页
