提醒成功

搜索
Rabbit Polyclonal Antibody to IRS-1(Ab-636)
-
货号:
P41426 -
别名:
IRS-1; IRS1; -
应用:
WB,IHC,IF -
反应种属:
Human,Mouse,Rat -
抗体类型:
Primary antibody -
Swissprot:
P35568 -
规格:
-
数量:
-+ -
说明书:
目录价¥1980

Rabbit Polyclonal Antibody to IRS-1(Ab-636)
Description |
---|
May mediate the control of various cellular processes by insulin. When phosphorylated by the insulin receptor binds specifically to various cellular proteins containing SH2 domains such as phosphatidylinositol 3-kinase p85 subunit or GRB2. Activates phosphatidylinositol 3-kinase when bound to the regulatory p85 subunit |
References |
---|
Ozes ON, et al. (2001) Proc Natl Acad Sci U S A; 98(8): 4640-4645Tzatsos A, et al. (2006) Mol Cell Biol; 26(1): 63-76Kadowaki T, et al. (2000) J Clin Invest; 106(4): 459-465Ozes ON, et al. (2001) Proc Natl Acad Sci U S A; 98(8): 4640-4645Szanto I, et al. (2000) Proc Natl Acad Sci U S A; 97(5): 2355-2360 |
Specification |
|
---|---|
Aliases | IRS-1; IRS1; |
Entrez GeneID | 3667; |
Swissprot | P35568 |
WB Predicted band size | 180kDa |
Host/Isotype | Rabbit IgG |
Antibody Type | Primary antibody |
Storage | Store at 4°C short term. Aliquot and store at -20°C long term. Avoid freeze/thaw cycles. |
Species Reactivity | Human,Mouse,Rat |
Immunogen | Peptide sequence around aa.634~638 (P-M-S-P-K) derived from Human IRS-1. |
Formulation | Purified antibody in PBS with 0.05% sodium azide. |
Application |
|
---|---|
WB | 1/500-1/1000 |
IHC | 1/50-1/100 |
IF/ICC | 1/100-1/200 |
Product Image
- Western blot analysis of extracts from 293 cells using IRS-1(Ab-636) Antibody P41426.
- Immunofluorescence staining of methanol-fixed Hela cells using IRS-1(Ab-636) Antibody P41426.
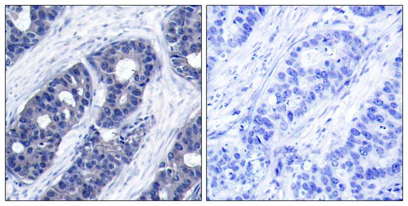
- Immunohistochemical analysis of paraffin-embedded human breast carcinoma tissue using IRS-1(Ab-636) Antibody P41426(left) or the same antibody preincubated with blocking peptide(right).
For Reseach Only
Application Key:WB - Western Blot | IHC - Immunohistochemistry | ICC - Immunocytochemistry | FCM - Flow Cytometry | ELISA - Enzyme-linked Immunosorbent Assay | IP - Immunoprecipitation
#P41426

相关产品


