提醒成功
搜索
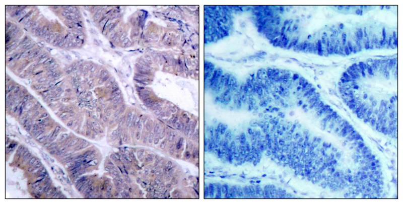
Rabbit Polyclonal Antibody to AMPKα1 (Ab-496)
-
货号:
P41346 -
别名:
AAPK1; AMPK alpha-1 chain; AMPK-alpha1; HMG-CoA redustase kinase; PRKAA1 -
应用:
WB,IHC -
反应种属:
Human -
抗体类型:
Primary antibody -
Swissprot:
Q13131 -
规格:
-
数量:
-+ -
说明书:
目录价¥1980
Rabbit Polyclonal Antibody to AMPKα1 (Ab-496)
Description |
|---|
Responsible for the regulation of fatty acid synthesis by phosphorylation of acetyl-CoA carboxylase. It also regulates cholesterol synthesis via phosphorylation and inactivation of hormone-sensitive lipase and hydroxymethylglutaryl-CoA reductase. Appears to act as a metabolic stress-sensing protein kinase switching off biosynthetic pathways when cellular ATP levels are depleted and when 5'-AMP rises in response to fuel limitation and/or hypoxia. This is a catalytic subunit. |
References |
|---|
| Kim JE, et al. (2005) J Proteome Res. 4(4): 1339-1346. Woods A, et al. (2003) J Biol Chem. 278(31): 28434-28442. |
Specification |
|
|---|---|
| Aliases | AAPK1; AMPK alpha-1 chain; AMPK-alpha1; HMG-CoA redustase kinase; PRKAA1 |
| Entrez GeneID | 5562; |
| Swissprot | Q13131 |
| WB Predicted band size | 63kDa |
| Host/Isotype | Rabbit IgG |
| Antibody Type | Primary antibody |
| Storage | Store at 4°C short term. Aliquot and store at -20°C long term. Avoid freeze/thaw cycles. |
| Species Reactivity | Human |
| Immunogen | Peptide sequence around aa.494~498 (S-G-S-V-S) derived from Human AMPKα1. |
| Formulation | Liquid in PBS containing 50% glycerol, 0.5% BSA and 0.02% sodium azide. |
Application |
|
|---|---|
| WB | 1/500-1/1000 |
| IHC | 1/50-1/100 |
Product Image
For Reseach Only
Application Key:WB - Western Blot | IHC - Immunohistochemistry | ICC - Immunocytochemistry | FCM - Flow Cytometry | ELISA - Enzyme-linked Immunosorbent Assay | IP - Immunoprecipitation
#P41346
相关产品

微信/QQ登录


首页
