提醒成功
搜索
Rabbit Polyclonal Antibody to Estrogen Receptor-a(Ab-118)
-
货号:
P41295 -
别名:
ER; ESR; ESR1; ESTR; ESTRA -
应用:
WB,IHC,IF -
反应种属:
Human -
抗体类型:
Primary antibody -
Swissprot:
P03372 -
规格:
-
数量:
-+ -
说明书:
目录价¥1980
Rabbit Polyclonal Antibody to Estrogen Receptor-a(Ab-118)
Description |
|---|
Nuclear hormone receptor. The steroid hormones and their receptors are involved in the regulation of eukaryotic gene expression and affect cellular proliferation and differentiation in target tissues. |
References |
|---|
| H Yamaguchi, J Zhu, T Yu, et al. (2007) Serum-free mouse embryo cells generate a self-sustaining feedback loop for an astrocyte marker protein and respond to cytokines and bisphenol A in accordance with the subtle difference in their differentiation state. Cell Biology International, 31(6):638-644.This article references the use of the #21067 in the following applications |
Specification |
|
|---|---|
| Aliases | ER; ESR; ESR1; ESTR; ESTRA |
| Entrez GeneID | 2099; |
| Swissprot | P03372 |
| WB Predicted band size | 66kDa |
| Host/Isotype | Rabbit IgG |
| Antibody Type | Primary antibody |
| Storage | Store at 4°C short term. Aliquot and store at -20°C long term. Avoid freeze/thaw cycles. |
| Species Reactivity | Human |
| Immunogen | Peptide sequence around aa.116~120 (Q-L-S-P-F) derived from Human Estrogen Receptor-a. |
| Formulation | Liquid in PBS containing 50% glycerol, 0.5% BSA and 0.02% sodium azide. |
Application |
|
|---|---|
| WB | 1/500-1/1000 |
| IHC | 1/50-1/100 |
| IF/ICC | 1/100-1/200 |
Product Image
- Western blot analysis of extracts from MCF cells using Estrogen Receptor-a(Ab-118) Antibody P41295 and the same antibody preincubated with blocking peptide.
- Immunofluorescence staining of methanol-fixed MCF cells using Estrogen Receptor-a(Ab-118) Antibody P41295.
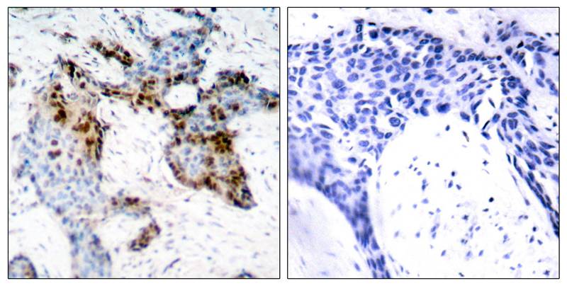
- Immunohistochemical analysis of paraffin-embedded human breast carcinoma tissue using Estrogen Receptor-a(Ab-118) Antibody P41295(left) or the same antibody preincubated with blocking peptide(right).
For Reseach Only
Application Key:WB - Western Blot | IHC - Immunohistochemistry | ICC - Immunocytochemistry | FCM - Flow Cytometry | ELISA - Enzyme-linked Immunosorbent Assay | IP - Immunoprecipitation
#P41295
相关产品

微信/QQ登录


首页
