提醒成功
搜索
Rabbit Polyclonal Antibody to Estrogen Receptor-a(Ab-106)
-
货号:
P41294 -
别名:
ER; ESR; ESR1; ESTR; ESTRA -
应用:
WB,IHC -
反应种属:
Human,Mouse,Rat -
抗体类型:
Primary antibody -
Swissprot:
P03372 -
规格:
-
数量:
-+ -
说明书:
目录价¥1980
Rabbit Polyclonal Antibody to Estrogen Receptor-a(Ab-106)
Description |
|---|
Nuclear hormone receptor. The steroid hormones and their receptors are involved in the regulation of eukaryotic gene expression and affect cellular proliferation and differentiation in target tissues. |
References |
|---|
| Medunjanin S, et al. (2005). J Biol Chem.80 (38):33006-33014.Dutertre M, et al. (2003). Mol Endocrinol.17 (7): 1296-1314.Chen D, et al. (2000). Mol Cell.6 (1): 127-137.Rogatsky I, et al. (1999). J Biol Chem.274 (32): 22296-22302. |
Specification |
|
|---|---|
| Aliases | ER; ESR; ESR1; ESTR; ESTRA |
| Entrez GeneID | 2099; |
| Swissprot | P03372 |
| WB Predicted band size | 66kDa |
| Host/Isotype | Rabbit IgG |
| Antibody Type | Primary antibody |
| Storage | Store at 4°C short term. Aliquot and store at -20°C long term. Avoid freeze/thaw cycles. |
| Species Reactivity | Human,Mouse,Rat |
| Immunogen | Peptide sequence around aa.104~108 (S-P- S-P-L) derived from Human Estrogen Receptor-a. |
| Formulation | Liquid in PBS containing 50% glycerol, 0.5% BSA and 0.02% sodium azide. |
Application |
|
|---|---|
| WB | 1/500-1/1000 |
| IHC | 1/50-1/100 |
Product Image
- Western blot analysis of extracts from MCF7 cells using Estrogen Receptor-a(Ab-106) Antibody P41294 and the same antibody preincubated with blocking peptide.
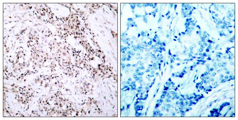
- Immunohistochemical analysis of paraffin-embedded human breast carcinoma tissue using Estrogen Receptor-a(Ab-106) Antibody P41294(left) or the same antibody preincubated with blocking peptide(right).
For Reseach Only
Application Key:WB - Western Blot | IHC - Immunohistochemistry | ICC - Immunocytochemistry | FCM - Flow Cytometry | ELISA - Enzyme-linked Immunosorbent Assay | IP - Immunoprecipitation
#P41294
相关产品

微信/QQ登录


首页
