提醒成功
搜索
Rabbit Polyclonal Antibody to BCL-2(Ab-56)
-
货号:
P41287 -
别名:
BCL2 -
应用:
WB,IHC,IF -
反应种属:
Human -
抗体类型:
Primary antibody -
Swissprot:
P10415 -
规格:
-
数量:
-+ -
说明书:
目录价¥1980
Rabbit Polyclonal Antibody to BCL-2(Ab-56)
Description |
|---|
Suppresses apoptosis in a variety of cell systems including factor-dependent lymphohematopoietic and neural cells. Regulates cell death by controlling the mitochondrial membrane permeability. Appears to function in a feedback loop system with caspases. Inhibits caspase activity either by preventing the release of cytochrome c from the mitochondria and/or by binding to the apoptosis-activating factor (APAF-1). |
References |
|---|
| Ling, Y. H. et al. (1998) J. Biol. Chem. 273, 18984-18991.Huang, S.J. and Cidlowski, J.A. (2002) FASEB 16, 825-832.Deng, X. et al. (2001) J. Biol. Chem. 276, 23681-23688.Huang ST,et al. (2002) FASEB J Jun; 16(8): 825-32.Yamamoto, K. et al. (1999) Mol. Cell. Biol. 19, 8469-8478. |
Specification |
|
|---|---|
| Aliases | BCL2 |
| Entrez GeneID | 596; |
| Swissprot | P10415 |
| WB Predicted band size | 26kDa |
| Host/Isotype | Rabbit IgG |
| Antibody Type | Primary antibody |
| Storage | Store at 4°C short term. Aliquot and store at -20°C long term. Avoid freeze/thaw cycles. |
| Species Reactivity | Human |
| Immunogen | Peptide sequence around aa. 54~58 (G-H-T-P-H) derived from Human BCL-2. |
| Formulation | Liquid in PBS containing 50% glycerol, 0.5% BSA and 0.02% sodium azide. |
Application |
|
|---|---|
| WB | 1/500-1/1000 |
| IHC | 1/50-1/100 |
| IF/ICC | 1/100-1/200 |
Product Image
- Western blot analysis of extracts from Hela, A2780 and 293 cells using BCL-2(Ab-56) Antibody P41287.
- Immunofluorescence staining of methanol-fixed Hela cells using BCL-2(Ab-56) Antibody P41287.
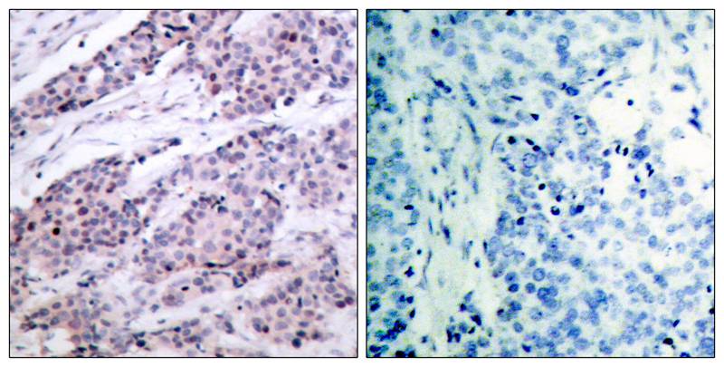
- Immunohistochemical analysis of paraffin-embedded human breast carcinoma tissue using BCL-2(Ab-56) Antibody P41287(left) or the same antibody preincubated with blocking peptide(right).
For Reseach Only
Application Key:WB - Western Blot | IHC - Immunohistochemistry | ICC - Immunocytochemistry | FCM - Flow Cytometry | ELISA - Enzyme-linked Immunosorbent Assay | IP - Immunoprecipitation
#P41287
相关产品

微信/QQ登录


首页
