提醒成功
搜索
Rabbit Polyclonal Antibody to p95/NBS1(Ab-343)
-
货号:
P41286 -
别名:
NBN -
应用:
WB,IHC -
反应种属:
Human -
抗体类型:
Primary antibody -
Swissprot:
O60934 -
规格:
-
数量:
-+ -
说明书:
目录价¥1980
Rabbit Polyclonal Antibody to p95/NBS1(Ab-343)
Description |
|---|
Mutations in p95/NBS1 gene are associated with Nijmegen breakage syndrome, an autosomal recessive chromosomal instability syndrome characterized by microcephaly, growth retardation, immunodeficiency, and cancer predisposition. The encoded protein is a member of the MRE11/RAD50 double-strand break repair complex which consists of 5 proteins. This gene product is thought to be involved in DNA double-strand break repair and DNA damage-induced checkpoint activation. |
References |
|---|
| Hsu HL, et al (2005)Oncogene; 24(31): 4956-64.Falck J, et al. (2005) Nature; 434(7033): 605-11.Buscemi G, et al. (2004) Oncogene; 23(46): 7691-700.Beausoleil SA, et al. (2004) Proc Natl Acad Sci U S A; 101(33): 12130-5. |
Specification |
|
|---|---|
| Aliases | NBN |
| Entrez GeneID | 4683; |
| Swissprot | O60934 |
| WB Predicted band size | 95kDa |
| Host/Isotype | Rabbit IgG |
| Antibody Type | Primary antibody |
| Storage | Store at 4°C short term. Aliquot and store at -20°C long term. Avoid freeze/thaw cycles. |
| Species Reactivity | Human |
| Immunogen | Peptide sequence around aa.341~345 (S-L-S-Q-G) derived from Human p95/NBS1. |
| Formulation | Liquid in PBS containing 50% glycerol, 0.5% BSA and 0.02% sodium azide. |
Application |
|
|---|---|
| WB | 1/500-1/1000 |
| IHC | 1/50-1/100 |
Product Image
- Western blot analysis of extracts from Jurkat cells using p95/NBS1(Ab-343) Antibody P41286 and the same antibody preincubated with blocking peptide.
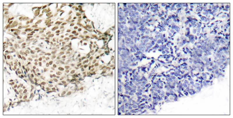
- Immunohistochemical analysis of paraffin-embedded human breast carcinoma tissue using p95/NBS1(Ab-343) Antibody P41286(left) or the same antibody preincubated with blocking peptide(right).
For Reseach Only
Application Key:WB - Western Blot | IHC - Immunohistochemistry | ICC - Immunocytochemistry | FCM - Flow Cytometry | ELISA - Enzyme-linked Immunosorbent Assay | IP - Immunoprecipitation
#P41286
相关产品

微信/QQ登录


首页
