提醒成功
搜索
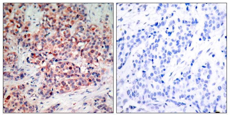
Rabbit Polyclonal Antibody to PTEN(Ab-370)
-
货号:
P41285 -
别名:
MMAC1; Mutated in multiple advanced cancers 1; Protein-tyrosine phosphatase PTEN; TEP1; -
应用:
WB,IHC -
反应种属:
Human,Mouse,Rat -
抗体类型:
Primary antibody -
Swissprot:
P60484 -
规格:
-
数量:
-+ -
说明书:
目录价¥1980
Rabbit Polyclonal Antibody to PTEN(Ab-370)
Description |
|---|
Tumor suppressor. Acts as a dual-specificity protein phosphatase, dephosphorylating tyrosine-, serine- and threonine-phosphorylated proteins. Also acts as a lipid phosphatase, removing the phosphate in the D3 position of the inositol ring from phosphatidylinositol 3,4,5-trisphosphate, phosphatidylinositol 3,4-diphosphate, phosphatidylinositol 3-phosphate and inositol 1,3,4,5-tetrakisphosphate with order of substrate preference in vitro PtdIns(3,4,5)P3 > PtdIns(3,4)P2 > PtdIns3P > Ins(1,3,4,5)P4. The lipid phosphatase activity is critical for its tumor suppressor function. Antagonizes the PI3K-AKT/PKB signaling pathway by dephosphorylating phosphoinositides and thereby modulating cell cycle progression and cell survival. The unphosphorylated form cooperates with AIP1 to suppress AKT1 activation. Dephosphorylates tyrosine-phosphorylated focal adhesion kinase and inhibits cell migration and integrin-mediated cell spreading and focal adhesion formation. May be a negative regulator of insulin signaling and glucose metabolism in adipose tissue. |
References |
|---|
| Al-Khouri AM, et al. (2005). J Biol Chem. 280 (42):35195-35202.Miller SJ, et al. (2002). FEBS Lett. 528 (1-3): 145-153.Torres J, et al. (2001). J Biol Chem.276 (2): 993-998.Vazquez F, et al. (2000). Mol Cell Biol.20 (14): 5010-5018. |
Specification |
|
|---|---|
| Aliases | MMAC1; Mutated in multiple advanced cancers 1; Protein-tyrosine phosphatase PTEN; TEP1; |
| Entrez GeneID | 5728; |
| Swissprot | P60484 |
| WB Predicted band size | 54kDa |
| Host/Isotype | Rabbit IgG |
| Antibody Type | Primary antibody |
| Storage | Store at 4°C short term. Aliquot and store at -20°C long term. Avoid freeze/thaw cycles. |
| Species Reactivity | Human,Mouse,Rat |
| Immunogen | Peptide sequence around aa.368~372 (D-V-S-D-N) derived from Human PTEN. |
| Formulation | Liquid in PBS containing 50% glycerol, 0.5% BSA and 0.02% sodium azide. |
Application |
|
|---|---|
| WB | 1/500-1/1000 |
| IHC | 1/50-1/100 |
Product Image
For Reseach Only
Application Key:WB - Western Blot | IHC - Immunohistochemistry | ICC - Immunocytochemistry | FCM - Flow Cytometry | ELISA - Enzyme-linked Immunosorbent Assay | IP - Immunoprecipitation
#P41285
相关产品

微信/QQ登录


首页
