提醒成功
搜索
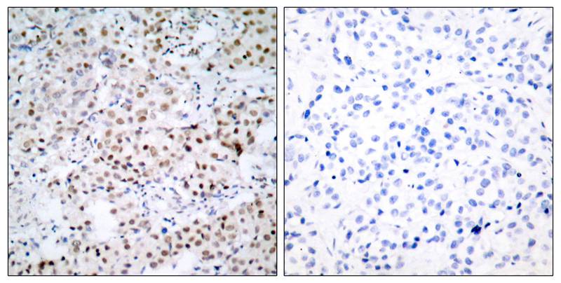
Rabbit Polyclonal Antibody to CREB(Ab-133)
-
货号:
P41281 -
别名:
CREB-1; CREB1; -
应用:
WB,IHC -
反应种属:
Human,Mouse -
抗体类型:
Primary antibody -
Swissprot:
P16220 -
规格:
-
数量:
-+ -
说明书:
目录价¥1980
Rabbit Polyclonal Antibody to CREB(Ab-133)
Description |
|---|
This protein binds the cAMP response element (CRE), a sequence present in many viral and cellular promoters. CREB stimulates transcription on binding to the CRE. Transcription activation is enhanced by the TORC coactivators which act independently of Ser-133 phosphorylation. Implicated in synchronization of circadian rhythmicity. |
References |
|---|
| Xing J, et al. (1998) Mol Cell Biol 18(4): 1946-55.Tan Y, et al.( 1996) EMBO J; 15(17): 4629-42.Hao, M. et al. (1996) J. Biol. Chem. 271, 29380-29385.Mayo LD, et al. (2001) Biol Chem; 276(27): 25184-9.Lu, H. et al. (1997) Mol. Cell. Biol. 17, 5923-5934. |
Specification |
|
|---|---|
| Aliases | CREB-1; CREB1; |
| Entrez GeneID | 1385; |
| Swissprot | P16220 |
| WB Predicted band size | 43kDa |
| Host/Isotype | Rabbit IgG |
| Antibody Type | Primary antibody |
| Storage | Store at 4°C short term. Aliquot and store at -20°C long term. Avoid freeze/thaw cycles. |
| Species Reactivity | Human,Mouse |
| Immunogen | Peptide sequence around aa. 131~135 (R-P-S-Y-R) derived from Human CREB. |
| Formulation | Liquid in PBS containing 50% glycerol, 0.5% BSA and 0.02% sodium azide. |
Application |
|
|---|---|
| WB | 1/500-1/1000 |
| IHC | 1/50-1/100 |
Product Image
For Reseach Only
Application Key:WB - Western Blot | IHC - Immunohistochemistry | ICC - Immunocytochemistry | FCM - Flow Cytometry | ELISA - Enzyme-linked Immunosorbent Assay | IP - Immunoprecipitation
#P41281
相关产品

微信/QQ登录


首页
