提醒成功
搜索
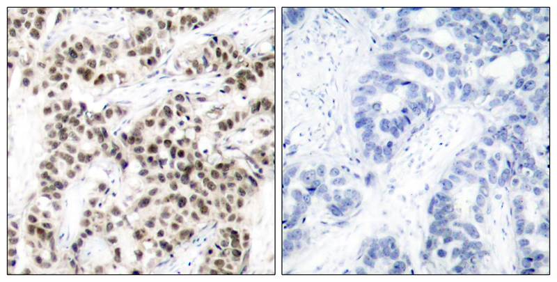
Rabbit Polyclonal Antibody to Myc(Ab-58)
-
货号:
P41266 -
别名:
c-myc -
应用:
WB,IHC -
反应种属:
Human,Mouse,Rat -
抗体类型:
Primary antibody -
Swissprot:
P01106 -
规格:
-
数量:
-+ -
说明书:
目录价¥1980
Rabbit Polyclonal Antibody to Myc(Ab-58)
Description |
|---|
Myc proto-oncogene encodes nuclear DNA-binding phosphoproteins that are involved in the regulation of gene expression and DNA replication during cell growth and differentiation. Myc encodes a protein of 65 kDa which is expressed in almost all normal and transformed cells. The expression correlates with the proliferation state of the cells. Transcription is repressed in quiescent or terminally differentiated cells. Expression of Myc is generally induced after mitogenic stimulation of cells or serum induction. Myc therefore is an important positive regulator of cell growth and proliferation. Myc has been demonstrated also to be a potent inducer of apoptosis when expressed in the absence of serum or growth factors. Apoptosis may serve also as a protective mechanism to prevent tumorigenicity elicited by deregulated Myc expression. Sequences of the Myc oncogene have been highly conserved throughout evolution, from Drosophila to vertebrates |
References |
|---|
| Jin Z, et al. (2004) J Biol Chem. 279(38): 40209-40219.Welcker M, et al. (2004) Proc Natl Acad Sci U S A. 101(24): 9085-9090.Baudino T A, et al. (2001) Mol Cell Biol. 21: 691-702.Blackwood E M, et al. (1991) Science. 251:1211-1217.Henriksson M, et al. (1996) Adv Cancer Res. 68: 109-182. |
Specification |
|
|---|---|
| Aliases | c-myc |
| Entrez GeneID | 4609; |
| Swissprot | P01106 |
| WB Predicted band size | 60kDa |
| Host/Isotype | Rabbit IgG |
| Antibody Type | Primary antibody |
| Storage | Store at 4°C short term. Aliquot and store at -20°C long term. Avoid freeze/thaw cycles. |
| Species Reactivity | Human,Mouse,Rat |
| Immunogen | Peptide sequence around aa.56~60 (L-P-T-P-P) derived from Human Myc. |
| Formulation | Liquid in PBS containing 50% glycerol, 0.5% BSA and 0.02% sodium azide. |
Application |
|
|---|---|
| WB | 1/500-1/1000 |
| IHC | 1/50-1/100 |
Product Image
For Reseach Only
Application Key:WB - Western Blot | IHC - Immunohistochemistry | ICC - Immunocytochemistry | FCM - Flow Cytometry | ELISA - Enzyme-linked Immunosorbent Assay | IP - Immunoprecipitation
#P41266
相关产品

微信/QQ登录


首页
