提醒成功
搜索
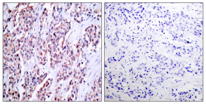
Rabbit Polyclonal Antibody to NFkB-p100(Ab-870)
-
货号:
P41252 -
别名:
DNA-binding factor KBF2; H2TF1; Lymphocyte translocation chromosome 10; Lyt10; NFKB2 -
应用:
WB,IHC -
反应种属:
Human,Mouse,Rat -
抗体类型:
Primary antibody -
Swissprot:
Q00653 -
规格:
-
数量:
-+ -
说明书:
目录价¥1980
Rabbit Polyclonal Antibody to NFkB-p100(Ab-870)
Description |
|---|
NFKB has been detected in numerous cell types that express cytokines, chemokines, growth factors, cell adhesion molecules, and some acute phase proteins in health and in various disease states. NFKB is activated by a wide variety of stimuli such as cytokines, oxidant-free radicals, inhaled particles, ultraviolet irradiation, and bacterial or viral products. Inappropriate activation of NF-kappa-B has been linked to inflammatory events associated with autoimmune arthritis, asthma, septic shock, lung fibrosis, glomerulonephritis, atherosclerosis, and AIDS. In contrast, complete and persistent inhibition of NF-kappa-B has been linked directly to apoptosis, inappropriate immune cell development, and delayed cell growth. |
References |
|---|
| Qu Z, et al. (2004) J Biol Chem; 279(43): 44563-72. Xiao G, et al. (2001) J Biol Chem 7(2): 401-9. |
Specification |
|
|---|---|
| Aliases | DNA-binding factor KBF2; H2TF1; Lymphocyte translocation chromosome 10; Lyt10; NFKB2 |
| Entrez GeneID | 4791; |
| Swissprot | Q00653 |
| WB Predicted band size | 120 kDa |
| Host/Isotype | Rabbit IgG |
| Antibody Type | Primary antibody |
| Storage | Store at 4°C short term. Aliquot and store at -20°C long term. Avoid freeze/thaw cycles. |
| Species Reactivity | Human,Mouse,Rat |
| Immunogen | Peptide sequence around aa.868~872 (Y-G-S-Q-S) derived from Human NFkB-p100. |
| Formulation | Liquid in PBS containing 50% glycerol, 0.5% BSA and 0.02% sodium azide. |
Application |
|
|---|---|
| WB | 1/500-1/1000 |
| IHC | 1/50-1/100 |
Product Image
For Reseach Only
Application Key:WB - Western Blot | IHC - Immunohistochemistry | ICC - Immunocytochemistry | FCM - Flow Cytometry | ELISA - Enzyme-linked Immunosorbent Assay | IP - Immunoprecipitation
#P41252
相关产品

微信/QQ登录


首页
