提醒成功
搜索
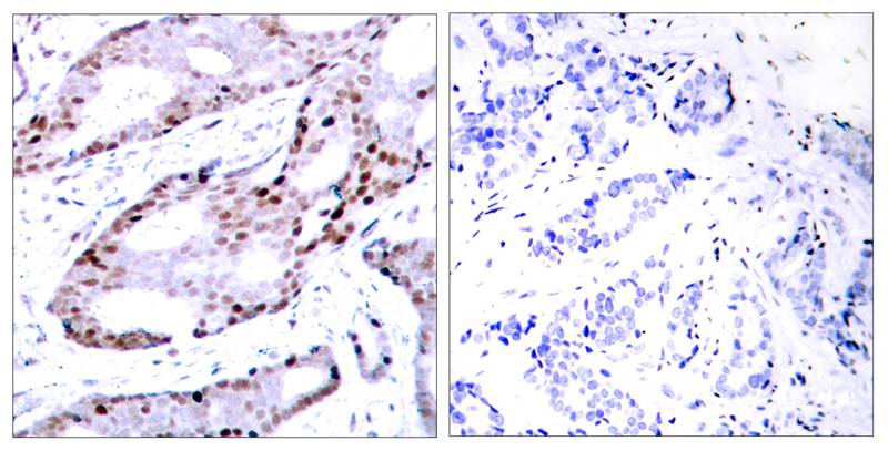
Rabbit Polyclonal Antibody to c-Jun(Ab-73)
-
货号:
P41240 -
别名:
AH119; AP1; Jun A; c-Jun; p39 -
应用:
WB,IHC -
反应种属:
Human,Mouse,Rat -
抗体类型:
Primary antibody -
Swissprot:
P05412 -
规格:
-
数量:
-+ -
说明书:
目录价¥1980
Rabbit Polyclonal Antibody to c-Jun(Ab-73)
Description |
|---|
Transcription factor that recognizes and binds to the enhancer heptamer motif 5'-TGA[CG]TCA-3'. |
References |
|---|
| Sevilla A, et al. (2004) Oncogene.23 (55): 8950-8958.Beausoleil S A, et al. (2004) Proc Natl Acad Sci U S A. 101(33): 12130-12135.Binetruy B, et al. (1991) Nature. 351:122-127.Smeal T, et al. (1991) Nature. 354: 494-496.Derijard B, et al. (1994) Cell. 76:1025-1037. |
Specification |
|
|---|---|
| Aliases | AH119; AP1; Jun A; c-Jun; p39 |
| Entrez GeneID | 3725; |
| Swissprot | P05412 |
| WB Predicted band size | 43kDa |
| Host/Isotype | Rabbit IgG |
| Antibody Type | Primary antibody |
| Storage | Store at 4°C short term. Aliquot and store at -20°C long term. Avoid freeze/thaw cycles. |
| Species Reactivity | Human,Mouse,Rat |
| Immunogen | Peptide sequence around aa.71~75 (L-A-S-P-E) derived from Human c-Jun. |
| Formulation | Liquid in PBS containing 50% glycerol, 0.5% BSA and 0.02% sodium azide. |
Application |
|
|---|---|
| WB | 1/500-1/1000 |
| IHC | 1/50-1/100 |
Product Image
For Reseach Only
Application Key:WB - Western Blot | IHC - Immunohistochemistry | ICC - Immunocytochemistry | FCM - Flow Cytometry | ELISA - Enzyme-linked Immunosorbent Assay | IP - Immunoprecipitation
#P41240
相关产品

微信/QQ登录


首页
