提醒成功
搜索
Rabbit Polyclonal Antibody to TPL2 (phospho-Thr290)
-
货号:
P41212 -
别名:
COT; ESTF; Mitogen-activated protein kinase kinase kinase 8; Cancer Osaka thyroid oncogene; Proto-oncogene c-Cot; Serine/threonine-protein kinase cot; Tumor progression locus 2; TPL-2 -
应用:
WB,IHC,IF -
反应种属:
Human,Mouse,Rat -
抗体类型:
Primary antibody -
Swissprot:
P41279 -
规格:
-
数量:
-+ -
说明书:
目录价¥2180
Rabbit Polyclonal Antibody to TPL2 (phospho-Thr290)
Specification |
|
|---|---|
| Aliases | COT; ESTF; Mitogen-activated protein kinase kinase kinase 8; Cancer Osaka thyroid oncogene; Proto-oncogene c-Cot; Serine/threonine-protein kinase cot; Tumor progression locus 2; TPL-2 |
| Entrez GeneID | 1326; |
| Swissprot | P41279 |
| WB Predicted band size | 53kDa |
| Host/Isotype | Rabbit IgG |
| Antibody Type | Primary antibody |
| Storage | Store at 4°C short term. Aliquot and store at -20°C long term. Avoid freeze/thaw cycles. |
| Species Reactivity | Human,Mouse,Rat |
| Immunogen | KLH-conjugated synthetic peptide encompassing a sequence within the center region of human TPL2. |
| Formulation | Liquid in PBS containing 50% glycerol, 0.5% BSA and 0.02% sodium azide. |
Application |
|
|---|---|
| WB | 1/500-1/1000 |
| IHC | 1/50-1/100 |
| IF/ICC | 1/100-1/300 |
Product Image
- Western blot analysis of TPL2 (phospho-Thr290) expression in HepG2, mouse liver, rat liver whole cell lysates.
- Immunofluorescent analysis of TPL2 (phospho-Thr290) staining in HepG2 cells. Formalin-fixed cells were permeabilized with 0.1% Triton X-100 in TBS for 5-10 minutes and blocked with 3% BSA-PBS for 30 minutes at room temperature. Cells were probed with the primary antibody in 3% BSA-PBS and incubated overnight at 4 C in a humidified chamber. Cells were washed with PBST and incubated with a DyLight 594-conjugated secondary antibody (red) in PBS at room temperature in the dark. DAPI was used to stain the cell nuclei (blue).
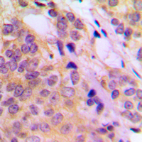
- Immunohistochemical analysis of TPL2 (phospho-Thr290) staining in human breast cancer formalin fixed paraffin embedded tissue section. The section was then incubated with the antibody at room temperature and detected using an HRP conjugated compact polymer system. DAB was used as the chromogen. The section was then counterstained with haematoxylin and mounted with DPX.
For Reseach Only
Application Key:WB - Western Blot | IHC - Immunohistochemistry | ICC - Immunocytochemistry | FCM - Flow Cytometry | ELISA - Enzyme-linked Immunosorbent Assay | IP - Immunoprecipitation
#P41212
相关产品

微信/QQ登录


首页
