提醒成功
搜索
Rabbit Polyclonal Antibody to IRAK1 (phospho-Thr100)
-
货号:
P41205 -
别名:
IRAK; Interleukin-1 receptor-associated kinase 1; IRAK-1 -
应用:
WB,IHC -
反应种属:
Human,Mouse -
抗体类型:
Primary antibody -
Swissprot:
P51617 -
规格:
-
数量:
-+ -
说明书:
目录价¥2180
Rabbit Polyclonal Antibody to IRAK1 (phospho-Thr100)
Specification |
|
|---|---|
| Aliases | IRAK; Interleukin-1 receptor-associated kinase 1; IRAK-1 |
| Entrez GeneID | 3654; |
| Swissprot | P51617 |
| WB Predicted band size | 77kDa |
| Host/Isotype | Rabbit IgG |
| Antibody Type | Primary antibody |
| Storage | Store at 4°C short term. Aliquot and store at -20°C long term. Avoid freeze/thaw cycles. |
| Species Reactivity | Human,Mouse |
| Immunogen | KLH-conjugated synthetic peptide encompassing a sequence within the N-term region of human IRAK1. |
| Formulation | Liquid in PBS containing 50% glycerol, 0.5% BSA and 0.02% sodium azide. |
Application |
|
|---|---|
| WB | 1/500-1/1000 |
| IHC | 1/50-1/100 |
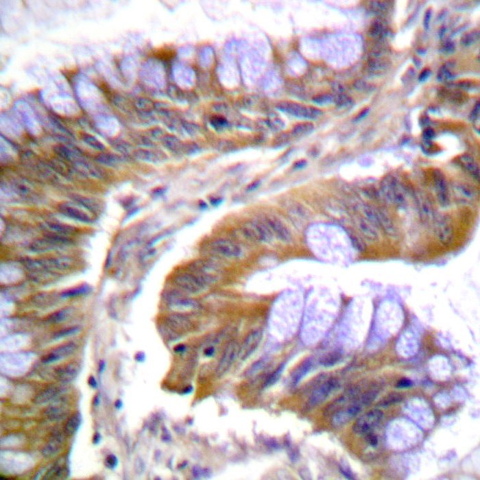
Product Image
- Western blot analysis of IRAK1 (phospho-Thr100) expression in Jurkat heat shock whole cell lysates.
- Immunohistochemical analysis of IRAK1 (phospho-Thr100) staining in human colon carcinoma formalin fixed paraffin embedded tissue section. The section was then incubated with the antibody at room temperature and detected using an HRP conjugated compact polymer system. DAB was used as the chromogen. The section was then counterstained with haematoxylin and mounted with DPX.
For Reseach Only
Application Key:WB - Western Blot | IHC - Immunohistochemistry | ICC - Immunocytochemistry | FCM - Flow Cytometry | ELISA - Enzyme-linked Immunosorbent Assay | IP - Immunoprecipitation
#P41205
相关产品

微信/QQ登录


首页
