提醒成功
搜索
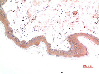
Mouse Monoclonal Antibody to Phospho-Smad3(S425)
-
货号:
P41203 -
别名:
Mothers against decapentaplegic homolog 3 (MAD homolog 3) (Mad3) (Mothers against DPP homolog 3) (hMAD-3) (JV15-2) (SMAD family member 3) (SMAD 3) (Smad3) (hSMAD3) -
应用:
IHC -
反应种属:
Human,Mouse,Rat -
抗体类型:
Primary antibody -
Swissprot:
P84022 -
规格:
-
数量:
-+ -
说明书:
目录价¥2180
Mouse Monoclonal Antibody to Phospho-Smad3(S425)
Specification |
|
|---|---|
| Aliases | Mothers against decapentaplegic homolog 3 (MAD homolog 3) (Mad3) (Mothers against DPP homolog 3) (hMAD-3) (JV15-2) (SMAD family member 3) (SMAD 3) (Smad3) (hSMAD3) |
| Entrez GeneID | 4088; |
| Swissprot | P84022 |
| WB Predicted band size | 52kDa |
| Host/Isotype | Mouse IgG |
| Antibody Type | Primary antibody |
| Storage | Store at 4°C short term. Aliquot and store at -20°C long term. Avoid freeze/thaw cycles. |
| Species Reactivity | Human,Mouse,Rat |
| Immunogen | Synthetic Peptide of Phospho-Smad3(S425) |
| Formulation | Purified antibody in PBS with 0.05% sodium azide,0.5%BSA and 50% glycerol. |
Application |
|
|---|---|
| IHC | 1/50-1/200 |
Product Image
For Reseach Only
Application Key:WB - Western Blot | IHC - Immunohistochemistry | ICC - Immunocytochemistry | FCM - Flow Cytometry | ELISA - Enzyme-linked Immunosorbent Assay | IP - Immunoprecipitation
#P41203
相关产品

微信/QQ登录


首页
