提醒成功

Mouse Monoclonal Antibody to GZMK
-
货号:
32147 -
别名:
TRYP2 -
应用:
IHC,FCM -
反应种属:
Human -
抗体类型:
Primary antibody -
Swissprot:
P49863 -
规格:
-
数量:
-+ -
说明书:
目录价¥2180

Mouse Monoclonal Antibody to GZMK
Description |
---|
This gene product is a member of a group of related serine proteases from the cytoplasmic granules of cytotoxic lymphocytes. Cytolytic T lymphocytes (CTL) and natural killer (NK) cells share the remarkable ability to recognize, bind, and lyse specific target cells. They are thought to protect their host by lysing cells bearing on their surface 'nonself' antigens, usually peptides or proteins resulting from infection by intracellular pathogens. The protein described here lacks consensus sequences for N-glycosylation present in other granzymes. |
References |
---|
1,Brain. 2019 Nov 1;142(11):3411-3427. 2,J Invest Dermatol. 2019 Apr;139(4):930-939. |
Specification |
|
---|---|
Aliases | TRYP2 |
Entrez GeneID | 3003 |
Swissprot | P49863 |
clone | 5B4A5 |
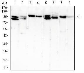
WB Predicted band size | 29kDa |
Host/Isotype | Mouse IgG2b |
Antibody Type | Primary antibody |
Storage | Store at 4°C short term. Aliquot and store at -20°C long term. Avoid freeze/thaw cycles. |
Species Reactivity | Human |
Immunogen | Purified recombinant fragment of human GZMK (AA: 27-264) expressed in E. Coli. |
Formulation | Purified antibody in PBS with 0.05% sodium azide |
Application |
|
---|---|
IHC | 1/200 - 1/1000 |
FCM | 1/200 - 1/400 |
ELISA | 1/10000 |
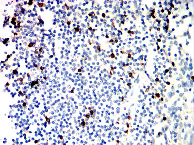
Product Image
- Black line: Control Antigen (100 ng);Purple line: Antigen (10ng); Blue line: Antigen (50 ng); Red line:Antigen (100 ng)
- Flow cytometric analysis of Jurkat cells using GZMK mouse mAb (green) and negative control (red).
- Flow cytometric analysis of MOLT4 cells using GZMK mouse mAb (green) and negative control (red).
- Immunohistochemical analysis of paraffin-embedded human tonsil tissues using GZMK mouse mAb with DAB staining.
For Reseach Only
Application Key:WB - Western Blot | IHC - Immunohistochemistry | ICC - Immunocytochemistry | FCM - Flow Cytometry | ELISA - Enzyme-linked Immunosorbent Assay | IP - Immunoprecipitation
#32147

相关产品


