提醒成功
搜索
Rabbit Polyclonal Antibody to SRF (Phospho-Ser77)
-
货号:
P40756 -
别名:
serum response factor -
应用:
WB,IHC -
反应种属:
Human,Mouse -
抗体类型:
Primary antibody -
Swissprot:
P11831 -
规格:
-
数量:
-+ -
说明书:
目录价¥2180
Rabbit Polyclonal Antibody to SRF (Phospho-Ser77)
Description |
|---|
SRF is a transcription factor that binds to the serum response element (SRE), a short sequence of dyad symmetry located 300 bp to the 5' of the site of transcription initiation of some genes (such as FOS). Required for cardiac differentiation and maturation. |
Specification |
|
|---|---|
| Aliases | serum response factor |
| Entrez GeneID | 6722; |
| Swissprot | P11831 |
| WB Predicted band size | 52kDa |
| Host/Isotype | Rabbit IgG |
| Antibody Type | Primary antibody |
| Storage | Store at 4°C short term. Aliquot and store at -20°C long term. Avoid freeze/thaw cycles. |
| Species Reactivity | Human,Mouse |
| Immunogen | Peptide sequence around phosphorylation site of serine 77 (L-Y-S(p)-G-S) derived from Human SRF. |
| Formulation | Liquid in PBS containing 50% glycerol, 0.5% BSA and 0.02% sodium azide. |
Application |
|
|---|---|
| WB | 1/500-1/3000 |
| IHC | 1/50-1/100 |
Product Image
- Western blot analysis of extracts from Jurkat cells, treated with PMA (125ng/ml, 30mins), using SRF (Phospho-Ser77) antibody P40756. The lane on the right is treated with the synthesized peptide.
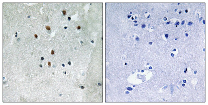
- Immunohistochemistry analysis of paraffin-embedded human brain tissue using SRF (Phospho-Ser77) antibody P40756. The picture on the right is treated with the synthesized peptide.
For Reseach Only
Application Key:WB - Western Blot | IHC - Immunohistochemistry | ICC - Immunocytochemistry | FCM - Flow Cytometry | ELISA - Enzyme-linked Immunosorbent Assay | IP - Immunoprecipitation
#P40756
相关产品

微信/QQ登录


首页
