提醒成功
搜索
Rabbit Polyclonal Antibody to p16-INK4a (Phospho-Ser152)
-
货号:
P40753 -
别名:
CD2A1; CDK4I; CDKN2; CDKN2A; CDN2; Cyclin-dependent kinase 4 inhibitor A; cyclin-dependent kinase inhibitor 2A; MTS1; Multiple tumor suppressor 1; p14ARF; p16(INK4a); p16-INK4; P16INK4A -
应用:
WB,IHC -
反应种属:
Human -
抗体类型:
Primary antibody -
Swissprot:
P42771 -
规格:
-
数量:
-+ -
说明书:
目录价¥2180
Rabbit Polyclonal Antibody to p16-INK4a (Phospho-Ser152)
Description |
|---|
Acts as a negative regulator of the proliferation of normal cells by interacting strongly with CDK4 and CDK6. This inhibits their ability to interact with cyclins D and to phosphorylate the retinoblastoma protein. |
Specification |
|
|---|---|
| Aliases | CD2A1; CDK4I; CDKN2; CDKN2A; CDN2; Cyclin-dependent kinase 4 inhibitor A; cyclin-dependent kinase inhibitor 2A; MTS1; Multiple tumor suppressor 1; p14ARF; p16(INK4a); p16-INK4; P16INK4A |
| Entrez GeneID | 1029; |
| Swissprot | P42771 |
| WB Predicted band size | 20kDa |
| Host/Isotype | Rabbit IgG |
| Antibody Type | Primary antibody |
| Storage | Store at 4°C short term. Aliquot and store at -20°C long term. Avoid freeze/thaw cycles. |
| Species Reactivity | Human |
| Immunogen | Peptide sequence around phosphorylation site of serine 152 (G-P-S(p)-D-I) derived from Human p16-INK4a. |
| Formulation | Liquid in PBS containing 50% glycerol, 0.5% BSA and 0.02% sodium azide. |
Application |
|
|---|---|
| WB | 1/500-1/3000 |
| IHC | 1/50-1/100 |
Product Image
- Western blot analysis of extracts from HeLa cells, treated with EPO (20U/ml, 15mins), using p16-INK4a (Phospho-Ser152) antibody P40753. The lane on the right is treated with the synthesized peptide.
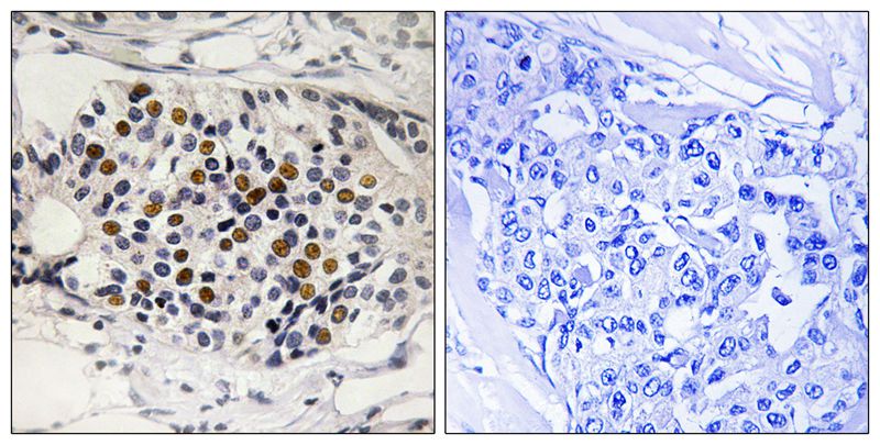
- Immunohistochemistry analysis of paraffin-embedded human breast carcinoma tissue using p16-INK4a (Phospho-Ser152) antibody P40753. The picture on the right is treated with the synthesized peptide.
For Reseach Only
Application Key:WB - Western Blot | IHC - Immunohistochemistry | ICC - Immunocytochemistry | FCM - Flow Cytometry | ELISA - Enzyme-linked Immunosorbent Assay | IP - Immunoprecipitation
#P40753
相关产品

微信/QQ登录


首页
