提醒成功
搜索
Rabbit Polyclonal Antibody to BLNK (Phospho-Tyr84)
-
货号:
P40737 -
别名:
B-cell linker protein; LY57; SLP-65; SLP65 -
应用:
WB,IHC -
反应种属:
Human,Mouse,Rat -
抗体类型:
Primary antibody -
Swissprot:
Q8WV28 -
规格:
-
数量:
-+ -
说明书:
目录价¥2180
Rabbit Polyclonal Antibody to BLNK (Phospho-Tyr84)
Description |
|---|
Functions as a central linker protein, downstream of the B-cell receptor (BCR), bridging the SYK kinase to a multitude of signaling pathways and regulating biological outcomes of B-cell function and development. Plays a role in the activation of ERK/EPHB2, MAP kinase p38 and JNK. Modulates AP1 activation. Important for the activation of NF-kappa-B and NFAT. Plays an important role in BCR-mediated PLCG1 and PLCG2 activation and Ca2+ mobilization and is required for trafficking of the BCR to late endosomes. However, does not seem to be required for pre-BCR-mediated activation of MAP kinase and phosphatidyl-inositol 3 (PI3) kinase signaling. May be required for the RAC1-JNK pathway. Plays a critical role in orchestrating the pro-B cell to pre-B cell transition. May play an important role in BCR-induced B-cell apoptosis. |
Specification |
|
|---|---|
| Aliases | B-cell linker protein; LY57; SLP-65; SLP65 |
| Entrez GeneID | 29760; |
| Swissprot | Q8WV28 |
| WB Predicted band size | 65kDa |
| Host/Isotype | Rabbit IgG |
| Antibody Type | Primary antibody |
| Storage | Store at 4°C short term. Aliquot and store at -20°C long term. Avoid freeze/thaw cycles. |
| Species Reactivity | Human,Mouse,Rat |
| Immunogen | Peptide sequence around phosphorylation site of tyrosine 84 (E-M-Y(p)-V-M) derived from Human BLNK. |
| Formulation | Liquid in PBS containing 50% glycerol, 0.5% BSA and 0.02% sodium azide. |
Application |
|
|---|---|
| WB | 1/500-1/3000 |
| IHC | 1/50-1/100 |
Product Image
- Western blot analysis of extracts from K562 cells, treated with starved (24hours), using BLNK (Phospho-Tyr84) antibody P40737. The lane on the right is treated with the synthesized peptide.
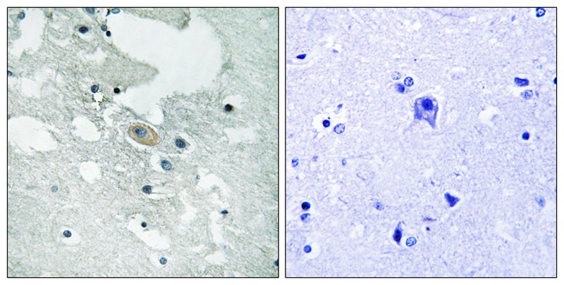
- Immunohistochemistry analysis of paraffin-embedded human brain tissue using BLNK (Phospho-Tyr84) antibody P40737. The picture on the right is treated with the synthesized peptide.
For Reseach Only
Application Key:WB - Western Blot | IHC - Immunohistochemistry | ICC - Immunocytochemistry | FCM - Flow Cytometry | ELISA - Enzyme-linked Immunosorbent Assay | IP - Immunoprecipitation
#P40737
相关产品

微信/QQ登录


首页
