提醒成功

搜索
Rabbit Polyclonal Antibody to PI3-kinase p85- alpha (Phospho-Tyr607)
-
货号:
P40672 -
别名:
p85, AGM7, GRB1, p85-ALPHA, PIK3R1 -
应用:
WB,IHC -
反应种属:
Human,Mouse,Rat -
抗体类型:
Primary antibody -
Swissprot:
P27986 -
规格:
-
数量:
-+ -
说明书:
目录价¥2180

Rabbit Polyclonal Antibody to PI3-kinase p85- alpha (Phospho-Tyr607)
Description |
---|
Binds to activated (phosphorylated) protein-Tyr kinases, through its SH2 domain, and acts as an adapter, mediating the association of the p110 catalytic unit to the plasma membrane. Necessary for the insulin-stimulated increase in glucose uptake and glycogen synthesis in insulin-sensitive tissues. Plays an important role in signaling in response to FGFR1, FGFR2, FGFR3, FGFR4, KITLG/SCF, KIT, PDGFRA and PDGFRB. Likewise, plays a role in ITGB2 signaling. |
Specification |
|
---|---|
Aliases | p85, AGM7, GRB1, p85-ALPHA, PIK3R1 |
Entrez GeneID | 5295; |
Swissprot | P27986 |
WB Predicted band size | 80kDa |
Host/Isotype | Rabbit IgG |
Antibody Type | Primary antibody |
Storage | Store at 4°C short term. Aliquot and store at -20°C long term. Avoid freeze/thaw cycles. |
Species Reactivity | Human,Mouse,Rat |
Immunogen | Peptide sequence around phosphorylation site of Tyrosine 607 (D-Q-Y(p)-S-L) derived from Human PI3-kinase p85-alpha. |
Formulation | Purified antibody in PBS with 0.05% sodium azide. |
Application |
|
---|---|
WB | 1/200-1/500 |
IHC | 1/50-1/100 |
Product Image
- All Lanes: PI3-kinase p85- (Phospho-Tyr607) Antibody at 1/ 500 dilution. Lane1: MCF7 serum starvation Lane2: MCF7 treated with 20nM EGF for 15min Lane3:MCF7 treated with 100nM Dasatinib for 30min Lane4: MCF7 Serum Starvation, then treated with Lambda Protein Phosphatase Lane5: MCF7 treated with 20nM EGF for 15min, then treated with Lambda Protein Phosphatase Lane6:MCF7 treated with 100nM Dasatinib for 30min, then treated with Lambda Protein Phosphatase Lysates/ Proteins at 40ug per lane Secondary: Goat Anti-Rabbit IgG(HRP) at 1/20000 dilution Predicted band size : 80kDa Observed band size:80kDa
- Lane1: Rat kidney tissue lysate Lane2: Rat kidney tissue lysate, blocked with the phospho peptide
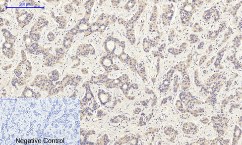
- Immunohistochemical analysis of paraffin-embedded Human placenta. Antibody was diluted at 1:100(4°C overnight). High-pressure and temperature Tris-EDTA,pH8.0 was used for antigen retrieval. Negetive contrl (right) obtaned from antibody was pre-absorbed by immunogen peptide.
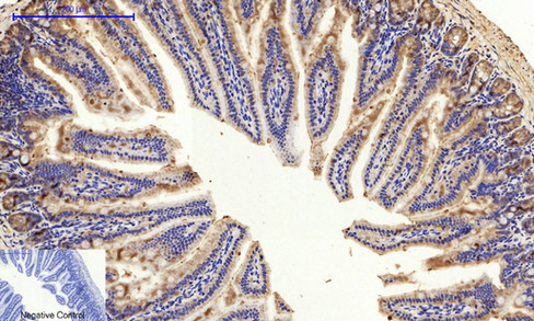
- Immunohistochemical analysis of paraffin-embedded Mouse-colon tissue. 1,PI 3-kinase p85α (phospho Tyr607) Polyclonal Antibody was diluted at 1:200(4°C,overnight). 2, Sodium citrate pH 6.0 was used for antibody retrieval(>98°C,20min). 3,Secondary antibody was diluted at 1:200(room tempeRature, 30min). Negative control was used by secondary antibody only.
- Immunohistochemical analysis of paraffin-embedded Mouse-testis tissue. 1,PI 3-kinase p85α (phospho Tyr607) Polyclonal Antibody was diluted at 1:200(4°C,overnight). 2, Sodium citrate pH 6.0 was used for antibody retrieval(>98°C,20min). 3,Secondary antibody was diluted at 1:200(room tempeRature, 30min). Negative control was used by secondary antibody only.
- Immunohistochemical analysis of paraffin-embedded Rat-testis tissue. 1,PI 3-kinase p85α (phospho Tyr607) Polyclonal Antibody was diluted at 1:200(4°C,overnight). 2, Sodium citrate pH 6.0 was used for antibody retrieval(>98°C,20min). 3,Secondary antibody was diluted at 1:200(room tempeRature, 30min). Negative control was used by secondary antibody only.
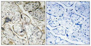
- Immunohistochemistry analysis of paraffin-embedded human brain, using PI3-kinase p85-alpha (Phospho-Tyr607) Antibody. The picture on the right is blocked with the phospho peptide.
For Reseach Only
Application Key:WB - Western Blot | IHC - Immunohistochemistry | ICC - Immunocytochemistry | FCM - Flow Cytometry | ELISA - Enzyme-linked Immunosorbent Assay | IP - Immunoprecipitation
#P40672

相关产品


