提醒成功
搜索
Rabbit Polyclonal Antibody to PLD2 (Phospho-Tyr169)
-
货号:
P40512 -
别名:
PLD 2; PLD1C; choline phosphatase 2; -
应用:
WB,IHC -
反应种属:
Human -
抗体类型:
Primary antibody -
Swissprot:
O14939 -
规格:
-
数量:
-+ -
说明书:
目录价¥2180
Rabbit Polyclonal Antibody to PLD2 (Phospho-Tyr169)
Description |
|---|
Phosphatidylcholine (PC)-specific phospholipases D (PLDs) catalyze the hydrolysis of PC to produce phosphatidic acid and choline. Activation of PC-specific PLDs occurs as a consequence of agonist stimulation of both tyrosine kinase and G protein-coupled receptors. PC-specific PLDs have been proposed to function in regulated secretion, cytoskeletal reorganization, transcriptional regulation, and cell cycle control.Steed P.M., FASEB J. 12:1309-1317(1998)Lopez I., J. Biol. Chem. 273:12846-12852(1998)Divecha N., EMBO J. 19:5440-5449(2000) |
Specification |
|
|---|---|
| Aliases | PLD 2; PLD1C; choline phosphatase 2; |
| Entrez GeneID | 5338; |
| Swissprot | O14939 |
| WB Predicted band size | 95kDa |
| Host/Isotype | Rabbit IgG |
| Antibody Type | Primary antibody |
| Storage | Store at 4°C short term. Aliquot and store at -20°C long term. Avoid freeze/thaw cycles. |
| Species Reactivity | Human |
| Immunogen | Peptide sequence around phosphorylation site of tyrosine 169(E-N-Y(p)-L-N) derived from Human PLD2. |
| Formulation | Liquid in PBS containing 50% glycerol, 0.5% BSA and 0.02% sodium azide. |
Application |
|
|---|---|
| WB | 1/500-1/1000 |
| IHC | 1/50-1/100 |
Product Image
- Western blot analysis of extracts from Jurkat cells treated with TNF using PLD2 (Phospho-Tyr169) Antibody P40512.The lane on the right is treated with the antigen-specific peptide.
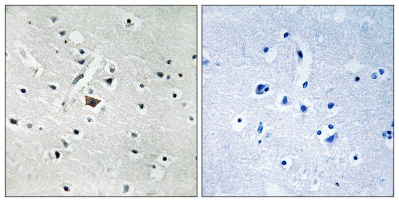
- Immunohistochemical analysis of paraffin-embedded human brain tissue using PLD2 (Phospho-Tyr169) antibody P40512 (left)or the same antibody preincubated with blocking peptide (right).
For Reseach Only
Application Key:WB - Western Blot | IHC - Immunohistochemistry | ICC - Immunocytochemistry | FCM - Flow Cytometry | ELISA - Enzyme-linked Immunosorbent Assay | IP - Immunoprecipitation
#P40512
相关产品

微信/QQ登录


首页
