提醒成功
搜索
Rabbit Polyclonal Antibody to Estrogen Receptor-α (Phospho-Ser102)
-
货号:
P40501 -
别名:
ER; ESR; ESR1; ESTR; NR3A1 -
应用:
WB,IHC -
反应种属:
Human,Mouse,Rat -
抗体类型:
Primary antibody -
Swissprot:
P03372 -
规格:
-
数量:
-+ -
说明书:
目录价¥2180
Rabbit Polyclonal Antibody to Estrogen Receptor-α (Phospho-Ser102)
Description |
|---|
Nuclear hormone receptor. The steroid hormones and their receptors are involved in the regulation of eukaryotic gene expression and affect cellular proliferation and differentiation in target tissues. |
References |
|---|
| Greene G.L., Science 231:1150-1154(1986)Green S., Nature 320:134-139(1986)Pink J.J., Nucleic Acids Res. 24:962-969(1996) |
Specification |
|
|---|---|
| Aliases | ER; ESR; ESR1; ESTR; NR3A1 |
| Entrez GeneID | 2099; |
| Swissprot | P03372 |
| WB Predicted band size | 53kDa |
| Host/Isotype | Rabbit IgG |
| Antibody Type | Primary antibody |
| Storage | Store at 4°C short term. Aliquot and store at -20°C long term. Avoid freeze/thaw cycles. |
| Species Reactivity | Human,Mouse,Rat |
| Immunogen | Peptide sequence around phosphorylation site of Serine102(L-N-S(p)-V-S) derived from Human Estrogen Receptor-α. |
| Formulation | Liquid in PBS containing 50% glycerol, 0.5% BSA and 0.02% sodium azide. |
Application |
|
|---|---|
| WB | 1/500-1/1000 |
| IHC | 1/50-1/100 |
Product Image
- Western blot analysis of extracts from HuvEc cells (Lane 2), using Estrogen Receptor-α (Phospho-Ser102) Antibody P40501. The lane on the left is treated with antigen-specific peptide.
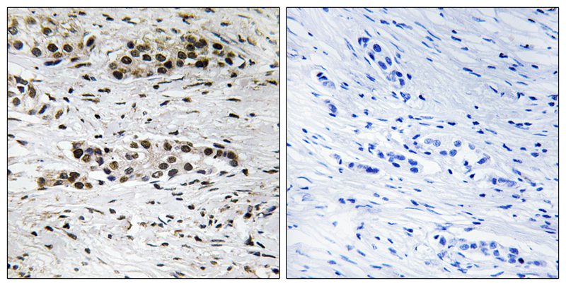
- Immunohistochemical analysis of paraffin-embedded human breast carcinoma tissue using Estrogen Receptor-α (Phospho-Ser102) antibody P40501 (left)or the same antibody preincubated with blocking peptide (right).
For Reseach Only
Application Key:WB - Western Blot | IHC - Immunohistochemistry | ICC - Immunocytochemistry | FCM - Flow Cytometry | ELISA - Enzyme-linked Immunosorbent Assay | IP - Immunoprecipitation
#P40501
相关产品

微信/QQ登录


首页
