提醒成功
搜索
Rabbit Polyclonal Antibody to PYK2 (Phospho-Tyr579)
-
货号:
P40476 -
别名:
CADTK; FADK 2; FAK2; PTK2B; RAFTK -
应用:
WB,IHC -
反应种属:
Human,Mouse -
抗体类型:
Primary antibody -
Swissprot:
Q14289 -
规格:
-
数量:
-+ -
说明书:
目录价¥2180
Rabbit Polyclonal Antibody to PYK2 (Phospho-Tyr579)
Description |
|---|
Involved in calcium induced regulation of ion channel and activation of the map kinase signaling pathway. May represent an important signaling intermediate between neuropeptide activated receptors or neurotransmitters that increase calcium flux and the downstream signals that regulate neuronal activity. Interacts with the SH2 domain of Grb2. May phosphorylate the voltage-gated potassium channel protein Kv1.2. Its activation is highly correlated with the stimulation of c-Jun N-terminal kinase activity. Involved in osmotic stress-dependent SNCA 'Tyr-125' phosphorylation.Lev S., Nature 376:737-745(1995)Herzog H., Genomics 32:484-486(1996)Sasaki H., J. Biol. Chem. 270:21206-21219(1995) |
Specification |
|
|---|---|
| Aliases | CADTK; FADK 2; FAK2; PTK2B; RAFTK |
| Entrez GeneID | 2185; |
| Swissprot | Q14289 |
| WB Predicted band size | 116kDa |
| Host/Isotype | Rabbit IgG |
| Antibody Type | Primary antibody |
| Storage | Store at 4°C short term. Aliquot and store at -20°C long term. Avoid freeze/thaw cycles. |
| Species Reactivity | Human,Mouse |
| Immunogen | Peptide sequence around phosphorylation site of tyrosine 579(E-D-Y(p)-Y-K) derived from Human PYK2. |
| Formulation | Liquid in PBS containing 50% glycerol, 0.5% BSA and 0.02% sodium azide. |
Application |
|
|---|---|
| WB | 1/500-1/1000 |
| IHC | 1/50-1/100 |
Product Image
- Western blot analysis of extracts from 3T3 cells (Lane 2) and HepG2 cells (Lane 3), using PYK2 (Phospho-Tyr579) Antibody P40476. The lane on the left is treated with antigen-specific peptide.
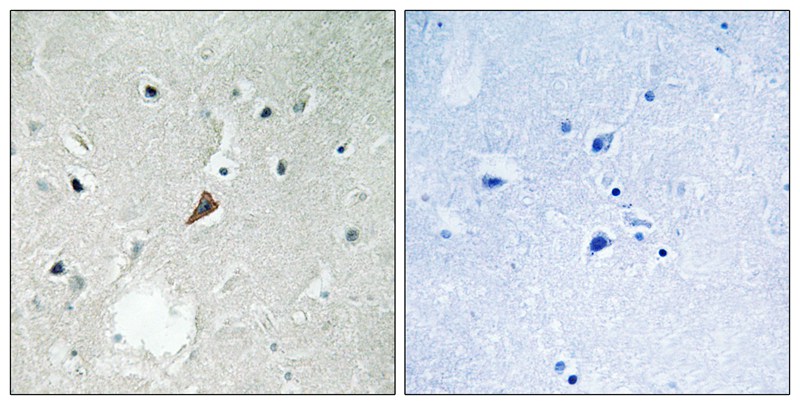
- Immunohistochemical analysis of paraffin-embedded human brain tissue using PYK2 (Phospho-Tyr579) antibody P40476 (left)or the same antibody preincubated with blocking peptide (right).
For Reseach Only
Application Key:WB - Western Blot | IHC - Immunohistochemistry | ICC - Immunocytochemistry | FCM - Flow Cytometry | ELISA - Enzyme-linked Immunosorbent Assay | IP - Immunoprecipitation
#P40476
相关产品

微信/QQ登录


首页
