提醒成功
搜索
Rabbit Polyclonal Antibody to FRS2 (Phospho-Tyr436)
-
货号:
P40470 -
别名:
SNT-1; SNT2; FGFR signalling adaptor; -
应用:
WB,IHC -
反应种属:
Human -
抗体类型:
Primary antibody -
Swissprot:
Q8WU20 -
规格:
-
数量:
-+ -
说明书:
目录价¥2180
Rabbit Polyclonal Antibody to FRS2 (Phospho-Tyr436)
Description |
|---|
FRS2 is an adaptor protein involved in fibroblast growth factor receptor (FGFR) signaling. Plays an important role in linking FGFR and nerve growth factor receptors with Ras/MAPK signaling pathways. Xu H., J. Biol. Chem. 273:17987-17990(1998)Meakin S.O., J. Biol. Chem. 274:9861-9870(1999)Dhalluin C., Mol. Cell 6:921-929(2000) |
Specification |
|
|---|---|
| Aliases | SNT-1; SNT2; FGFR signalling adaptor; |
| Entrez GeneID | 10818; |
| Swissprot | Q8WU20 |
| WB Predicted band size | 65kDa |
| Host/Isotype | Rabbit IgG |
| Antibody Type | Primary antibody |
| Storage | Store at 4°C short term. Aliquot and store at -20°C long term. Avoid freeze/thaw cycles. |
| Species Reactivity | Human |
| Immunogen | Peptide sequence around phosphorylation site of tyrosine 436(L-N-Y(p)-I-Q) derived from Human FRS2 . |
| Formulation | Liquid in PBS containing 50% glycerol, 0.5% BSA and 0.02% sodium azide. |
Application |
|
|---|---|
| WB | 1/500-1/1000 |
| IHC | 1/50-1/100 |
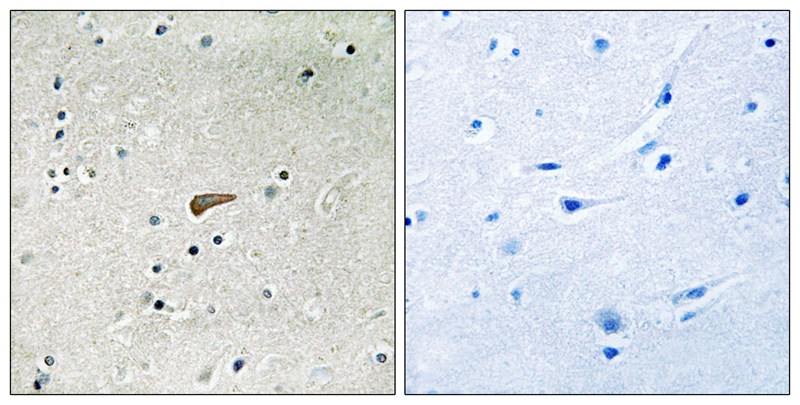
Product Image
- Western blot analysis of extracts from HuvEc cells (Lane 2) and JK cells (Lane 3), using FRS2 (Phospho-Tyr436) Antibody P40470. The lane on the left is treated with antigen-specific peptide.
- Immunohistochemical analysis of paraffin-embedded human brain tissue using FRS2 (Phospho-Tyr436) antibody P40470 (left)or the same antibody preincubated with blocking peptide (right).
For Reseach Only
Application Key:WB - Western Blot | IHC - Immunohistochemistry | ICC - Immunocytochemistry | FCM - Flow Cytometry | ELISA - Enzyme-linked Immunosorbent Assay | IP - Immunoprecipitation
#P40470
相关产品

微信/QQ登录


首页
