提醒成功
搜索
Rabbit Polyclonal Antibody to MAP2K7 (Phospho-Ser271)
-
货号:
P40445 -
别名:
PRKMK7; JNKK2; MKK7; MAP2K7; MP2K7 -
应用:
WB,IHC -
反应种属:
Human -
抗体类型:
Primary antibody -
Swissprot:
O14733 -
规格:
-
数量:
-+ -
说明书:
目录价¥2180
Rabbit Polyclonal Antibody to MAP2K7 (Phospho-Ser271)
Description |
|---|
The protein encoded by this gene is a dual specificity protein kinase that belongs to the MAP kinase kinase family. This kinase specifically activates MAPK8/JNK1 and MAPK9/JNK2, and this kinase itself is phosphorylated and activated by MAP kinase kinase kinases including MAP3K1/MEKK1, MAP3K2/MEKK2,MAP3K3/MEKK5, and MAP4K2/GCK. This kinase is involved in the signal transduction mediating the cell responses to proinflammatory cytokines, and environmental stresses. Multiple alternatively spliced transcript variants encoding distinct isoforms have been found, but only one transcript variant has been supported and defined.Wu Z., Mol. Cell. Biol. 17:7407-7416(1997)Lu X., J. Biol. Chem. 272:24751-24754(1997)Foltz I.N., J. Biol. Chem. 273:9344-9351(1998). |
Specification |
|
|---|---|
| Aliases | PRKMK7; JNKK2; MKK7; MAP2K7; MP2K7 |
| Entrez GeneID | 5609; |
| Swissprot | O14733 |
| WB Predicted band size | 60kDa |
| Host/Isotype | Rabbit IgG |
| Antibody Type | Primary antibody |
| Storage | Store at 4°C short term. Aliquot and store at -20°C long term. Avoid freeze/thaw cycles. |
| Species Reactivity | Human |
| Immunogen | Peptide sequence around phosphorylation site of Serine271(V-D-S(p)-K-A) derived from Human MAP2K7. |
| Formulation | Liquid in PBS containing 50% glycerol, 0.5% BSA and 0.02% sodium azide. |
Application |
|
|---|---|
| WB | 1/500-1/1000 |
| IHC | 1/50-1/100 |
Product Image
- Western blot analysis of extracts from 3T3 cells treated with insulin using MAP2K7 (Phospho-Ser271) Antibody P40445.The lane on the right is treated with the antigen-specific peptide.
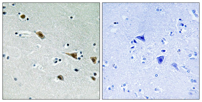
- Immunohistochemical analysis of paraffin-embedded humanbrain tissue, using MAP2K7 (Phospho-Ser271) antibody P40445 (left)or the same antibody preincubated with blocking peptide (right).
For Reseach Only
Application Key:WB - Western Blot | IHC - Immunohistochemistry | ICC - Immunocytochemistry | FCM - Flow Cytometry | ELISA - Enzyme-linked Immunosorbent Assay | IP - Immunoprecipitation
#P40445
相关产品

微信/QQ登录


首页
