提醒成功
搜索
Rabbit Polyclonal Antibody to STMN1 (Phospho-Ser63)
-
货号:
P40426 -
别名:
LAG; LAP18; pp19; PR22; STN1 -
应用:
WB,IHC -
反应种属:
Human -
抗体类型:
Primary antibody -
Swissprot:
P16949 -
规格:
-
数量:
-+ -
说明书:
目录价¥2180
Rabbit Polyclonal Antibody to STMN1 (Phospho-Ser63)
Description |
|---|
This gene belongs to the stathmin family of genes. It encodes a ubiquitous cytosolic phosphoprotein proposed to function as an intracellular relay integrating regulatory signals of the cellular environment. The encoded protein is involved in the regulation of the microtubule filament system by destabilizing microtubules. It prevents assembly and promotes disassembly of microtubules. Alternatively spliced transcript variants encoding the same protein have been identified |
References |
|---|
| Zhu X.-X., J. Biol. Chem. 264:14556-14560(1989) Maucuer A., FEBS Lett. 264:275-278(1990) Melhem R.F., J. Biol. Chem. 266:17747-17753(1991). |
Specification |
|
|---|---|
| Aliases | LAG; LAP18; pp19; PR22; STN1 |
| Entrez GeneID | 3925; |
| Swissprot | P16949 |
| WB Predicted band size | 22kDa |
| Host/Isotype | Rabbit IgG |
| Antibody Type | Primary antibody |
| Storage | Store at 4°C short term. Aliquot and store at -20°C long term. Avoid freeze/thaw cycles. |
| Species Reactivity | Human |
| Immunogen | Peptide sequence around phosphorylation site of Serine 63(R-K-S(p)-H-E) derived from Human STMN1. |
| Formulation | Liquid in PBS containing 50% glycerol, 0.5% BSA and 0.02% sodium azide. |
Application |
|
|---|---|
| WB | 1/500-1/1000 |
| IHC | 1/50-1/100 |
Product Image
- Western blot analysis of extracts from COS cells treated with nocodazole using STMN1 (Phospho-Ser63) Antibody.The lane on the right is treated with the antigen-specific peptide.
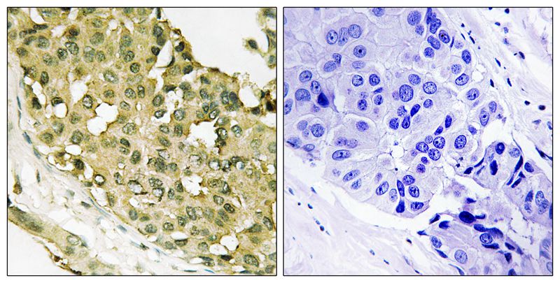
- Immunohistochemical analysis of paraffin-embedded human breast carcinoma tissue using STMN1 (Phospho-Ser63) antibody P40426 (left)or the same antibody preincubated with blocking peptide (right).
For Reseach Only
Application Key:WB - Western Blot | IHC - Immunohistochemistry | ICC - Immunocytochemistry | FCM - Flow Cytometry | ELISA - Enzyme-linked Immunosorbent Assay | IP - Immunoprecipitation
#P40426
相关产品

微信/QQ登录


首页
