提醒成功
搜索
Rabbit Polyclonal Antibody to c-Jun (Phospho-Ser63)
-
货号:
P40418 -
别名:
AH119; c-Jun; p39; Jun A; AP1 -
应用:
WB,IHC -
反应种属:
Human -
抗体类型:
Primary antibody -
Swissprot:
P05412 -
规格:
-
数量:
-+ -
说明书:
目录价¥2180
Rabbit Polyclonal Antibody to c-Jun (Phospho-Ser63)
Description |
|---|
Transcription factor that recognizes and binds to the enhancer heptamer motif 5'-TGA[CG]TCA-3'. |
References |
|---|
| Wei W, et al. (2005). Cancer Cell. 8(1): 25-33 Sevilla A, et al. (2004). Oncogene.23(55): 8950-8958 Li L, et al. (2004). J Biol Chem.279(6): 4058-4065 Hurd C, et al. (2002). Oncogene.21(14): 2154-2160 |
Specification |
|
|---|---|
| Aliases | AH119; c-Jun; p39; Jun A; AP1 |
| Entrez GeneID | 3725; |
| Swissprot | P05412 |
| WB Predicted band size | 48kDa |
| Host/Isotype | Rabbit IgG |
| Antibody Type | Primary antibody |
| Storage | Store at 4°C short term. Aliquot and store at -20°C long term. Avoid freeze/thaw cycles. |
| Species Reactivity | Human |
| Immunogen | Peptide sequence around phosphorylation site of Serine 63(L-T-S(p)-P-D) derived from Human c-Jun. |
| Formulation | Liquid in PBS containing 50% glycerol, 0.5% BSA and 0.02% sodium azide. |
Application |
|
|---|---|
| WB | 1/500-1/1000 |
| IHC | 1/50-1/100 |
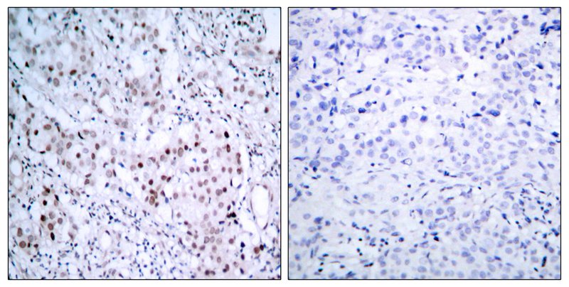
Product Image
- Western blot analysis of extracts from HeLa cells using c-Jun (Phospho-Ser63) Antibody P40418.The lane on the right is treated with the antigen-specific peptide.
- Immunohistochemical analysis of paraffin-embedded human breast carcinoma tissue, using c-Jun (Phospho-Ser63) antibody P40418 (left)or the same antibody preincubated with blocking peptide (right).
For Reseach Only
Application Key:WB - Western Blot | IHC - Immunohistochemistry | ICC - Immunocytochemistry | FCM - Flow Cytometry | ELISA - Enzyme-linked Immunosorbent Assay | IP - Immunoprecipitation
#P40418
相关产品

微信/QQ登录


首页
