提醒成功
搜索
Rabbit Polyclonal Antibody to PAK1 (Phospho-Ser199)
-
货号:
P40408 -
别名:
ADRB2; PAK 1; P65-PAK; P68-PAK; -
应用:
WB,IHC -
反应种属:
Human -
抗体类型:
Primary antibody -
Swissprot:
Q13153 -
规格:
-
数量:
-+ -
说明书:
目录价¥2180
Rabbit Polyclonal Antibody to PAK1 (Phospho-Ser199)
Description |
|---|
The activated kinase acts on a variety of targets. Likely to be the GTPase effector that links the Rho-related GTPases to the JNK MAP kinase pathway. Activated by CDC42 and RAC1. Involved in dissolution of stress fibers and reorganization of focal complexes. Involved in regulation of microtubule biogenesis through phosphorylation of TBCB. Activity is inhibited in cells undergoing apoptosis, potentially due to binding of CDC2L1 and CDC2L2.Brown J.L., Curr. Biol. 6:598-605(1996)Sells M.A., Curr. Biol. 7:202-210(1997)The MGC Project Team; Genome Res. 14:2121-2127(2004) |
Specification |
|
|---|---|
| Aliases | ADRB2; PAK 1; P65-PAK; P68-PAK; |
| Entrez GeneID | 5058; |
| Swissprot | Q13153 |
| WB Predicted band size | 61kDa |
| Host/Isotype | Rabbit IgG |
| Antibody Type | Primary antibody |
| Storage | Store at 4°C short term. Aliquot and store at -20°C long term. Avoid freeze/thaw cycles. |
| Species Reactivity | Human |
| Immunogen | Peptide sequence around phosphorylation site of Serine 199(T-K-S(p)-V-I) derived from Human PAK1. |
| Formulation | Liquid in PBS containing 50% glycerol, 0.5% BSA and 0.02% sodium azide. |
Application |
|
|---|---|
| WB | 1/500-1/1000 |
| IHC | 1/50-1/100 |
Product Image
- Western blot analysis of extracts from LOVO cells treated with starved using PAK1/2 (Phospho-Ser199) Antibody P40408.The lane on the right is treated with the antigen-specific peptide.
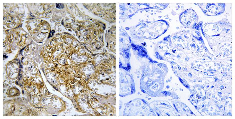
- Immunohistochemical analysis of paraffin-embedded human placenta tissue using PAK1/2 (Phospho-Ser199) antibody P40408 (left)or the same antibody preincubated with blocking peptide (right).
For Reseach Only
Application Key:WB - Western Blot | IHC - Immunohistochemistry | ICC - Immunocytochemistry | FCM - Flow Cytometry | ELISA - Enzyme-linked Immunosorbent Assay | IP - Immunoprecipitation
#P40408
相关产品

微信/QQ登录


首页
