提醒成功
搜索
Rabbit Polyclonal Antibody to Bloom Syndrome (Phospho-Thr99)
-
货号:
P40393 -
别名:
RECQ2; RECQL3; type 2; EC 3.6.1; RecQ protein-like 3 -
应用:
WB,IHC -
反应种属:
Human -
抗体类型:
Primary antibody -
Swissprot:
P54132 -
规格:
-
数量:
-+ -
说明书:
目录价¥2180
Rabbit Polyclonal Antibody to Bloom Syndrome (Phospho-Thr99)
Description |
|---|
Participates in DNA replication and repair. Exhibits a magnesium-dependent ATP-dependent DNA-helicase activity that unwinds single- and double-stranded DNA in a 3'-5' direction. Involved in 5'-end resection of DNA during double-strand break (DSB) repair: unwinds DNA and recruits DNA2 which mediates the cleavage of 5'-ssDNA. Negatively regulates sister chromatid exchange (SCE).Ellis N.A., Cell 83:655-666(1995)Karow J.K., J. Biol. Chem. 272:30611-30614(1997)Pichierri P., EMBO J. 23:3154-3163(2004) |
Specification |
|
|---|---|
| Aliases | RECQ2; RECQL3; type 2; EC 3.6.1; RecQ protein-like 3 |
| Entrez GeneID | 641; |
| Swissprot | P54132 |
| WB Predicted band size | 159kDa |
| Host/Isotype | Rabbit IgG |
| Antibody Type | Primary antibody |
| Storage | Store at 4°C short term. Aliquot and store at -20°C long term. Avoid freeze/thaw cycles. |
| Species Reactivity | Human |
| Immunogen | Peptide sequence around phosphorylation site of threonine 99 (Q-E-T(p)-Q-R) derived from Human Bloom Syndrome. |
| Formulation | Liquid in PBS containing 50% glycerol, 0.5% BSA and 0.02% sodium azide. |
Application |
|
|---|---|
| WB | 1/500-1/1000 |
| IHC | 1/50-1/100 |
Product Image
- Western blot analysis of extracts from HepG2 cells using Bloom Syndrome Protein (Phospho-Thr99) Antibody P40393.The lane on the right is treated with the antigen-specific peptide.
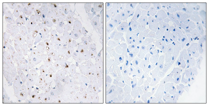
- Immunohistochemical analysis of paraffin-embedded human heart tissue, using Bloom Syndrome Protein (Phospho-Thr99) antibody P40393 (left)or the same antibody preincubated with blocking peptide (right).
For Reseach Only
Application Key:WB - Western Blot | IHC - Immunohistochemistry | ICC - Immunocytochemistry | FCM - Flow Cytometry | ELISA - Enzyme-linked Immunosorbent Assay | IP - Immunoprecipitation
#P40393
相关产品

微信/QQ登录


首页
