提醒成功
搜索
Rabbit Polyclonal Antibody to Estrogen Receptor-α (Phospho-Tyr537)
-
货号:
P40376 -
别名:
ER; ESR; ESR1; ESTR; NR3A1 -
应用:
WB,IHC -
反应种属:
Human,Mouse -
抗体类型:
Primary antibody -
Swissprot:
P03372 -
规格:
-
数量:
-+ -
说明书:
目录价¥2180
Rabbit Polyclonal Antibody to Estrogen Receptor-α (Phospho-Tyr537)
Description |
|---|
Nuclear hormone receptor. The steroid hormones and their receptors are involved in the regulation of eukaryotic gene expression and affect cellular proliferation and differentiation in target tissues. |
References |
|---|
| Sehime Temel, Endocrinology, Oct 2002; 143: 3974. Xin-Tian Zhang, AACR Meeting Abstracts, Apr 2005; 2005: 302. Suwit J. Somponpun, Am J Physiol Regulatory Integrative Comp Physiol, Sep 2004; 287: R661 - R669. Marcello Maggiolini, Cancer Res., Oct 1999; |
Specification |
|
|---|---|
| Aliases | ER; ESR; ESR1; ESTR; NR3A1 |
| Entrez GeneID | 2099; |
| Swissprot | P03372 |
| WB Predicted band size | 66kDa |
| Host/Isotype | Rabbit IgG |
| Antibody Type | Primary antibody |
| Storage | Store at 4°C short term. Aliquot and store at -20°C long term. Avoid freeze/thaw cycles. |
| Species Reactivity | Human,Mouse |
| Immunogen | Peptide sequence around phosphorylation site of tyrosine 537(P-L-Y(p)-D-L) derived from Human Estrogen Receptor-α. |
| Formulation | Liquid in PBS containing 50% glycerol, 0.5% BSA and 0.02% sodium azide. |
Application |
|
|---|---|
| WB | 1/500-1/1000 |
| IHC | 1/50-1/100 |
Product Image
- Western blot analysis of extracts from K562 cells (Lane 2), using Estrogen Receptor-α (Phospho-Tyr537) Antibody P40376. The lane on the left is treated with antigen-specific peptide.
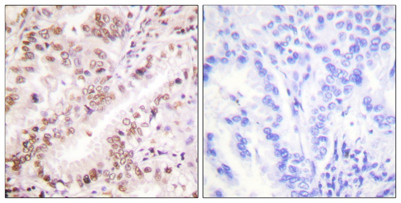
- Immunohistochemical analysis of paraffin-embedded human lung carcinoma tissue using Estrogen Receptor-α (Phospho-Tyr537) antibody P40376 (left)or the same antibody preincubated with blocking peptide (right).
For Reseach Only
Application Key:WB - Western Blot | IHC - Immunohistochemistry | ICC - Immunocytochemistry | FCM - Flow Cytometry | ELISA - Enzyme-linked Immunosorbent Assay | IP - Immunoprecipitation
#P40376
相关产品

微信/QQ登录


首页
