提醒成功
搜索
Rabbit Polyclonal Antibody to c-kit(phospho-Tyr936)
-
货号:
P40323 -
别名:
KIT; CD117; SCFR; PBT; -
应用:
WB,IHC -
反应种属:
Human -
抗体类型:
Primary antibody -
Swissprot:
P10721 -
规格:
-
数量:
-+ -
说明书:
目录价¥2180
Rabbit Polyclonal Antibody to c-kit(phospho-Tyr936)
Description |
|---|
This is the receptor for stem cell factor (mast cell growth factor). It has a tyrosine-protein kinase activity. Binding of the ligands leads to the autophosphorylation of KIT and its association with substrates such as phosphatidylinositol 3-kinase (Pi3K) |
References |
|---|
| Martin, F.H. et al. (1990) Cell 63, 203-11.Blume-Jensen, P. et al. (2000) Nat Genet 24, 157-62.Gommerman, J.L. et al. (1997) J Biol Chem 272, 30519-25.Nocka, K. et al. (1990) EMBO J 9, 1805-13. |
Specification |
|
|---|---|
| Aliases | KIT; CD117; SCFR; PBT; |
| Entrez GeneID | 3815; |
| Swissprot | P10721 |
| WB Predicted band size | 120 145kDa |
| Host/Isotype | Rabbit IgG |
| Antibody Type | Primary antibody |
| Storage | Store at 4°C short term. Aliquot and store at -20°C long term. Avoid freeze/thaw cycles. |
| Species Reactivity | Human |
| Immunogen | Peptide sequence around phosphorylation site of tyrosine 936 (H-I-Y(p)-S-N) derived from Human c-Kit. |
| Formulation | Liquid in PBS containing 50% glycerol, 0.5% BSA and 0.02% sodium azide. |
Application |
|
|---|---|
| WB | 1/500-1/1000 |
| IHC | 1/50-1/100 |
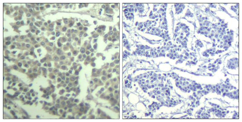
Product Image
- Western blot analysis of extracts from C6 cell untreated or treated with serum usingc-kit(phospho-Tyr936) Antibody P40323.
- Immunohistochemical analysis of paraffin-embedded human breast carcinoma tissue using c-kit(Phospho-Tyr936) Antibody P40323(left) or the same antibody preincubated with blocking peptide(right).
For Reseach Only
Application Key:WB - Western Blot | IHC - Immunohistochemistry | ICC - Immunocytochemistry | FCM - Flow Cytometry | ELISA - Enzyme-linked Immunosorbent Assay | IP - Immunoprecipitation
#P40323
相关产品

微信/QQ登录


首页
