提醒成功
搜索
Rabbit Polyclonal Antibody to Aurora A(phospho-Thr288)
-
货号:
P40314 -
别名:
AIK; ARK1; AURA; BTAK; STK6 -
应用:
WB,IHC -
反应种属:
Human,Mouse -
抗体类型:
Primary antibody -
Swissprot:
O14965 -
规格:
-
数量:
-+ -
说明书:
目录价¥2180
Rabbit Polyclonal Antibody to Aurora A(phospho-Thr288)
Description |
|---|
Contributes to the regulation of cell cycle progression. Required for normal mitosis. Associates with the centrosome and the spindle microtubules during mitosis and functions in centrosome maturation, spindle assembly, maintenance of spindle bipolarity, centrosome separation and mitotic checkpoint control. Phosphorylates numerous target proteins, including ARHGEF2, BRCA1, KIF2A, NDEL1, PARD3, PLK1 and BORA. Regulates KIF2A tubulin depolymerase activity By similarity. Required for normal axon formation. Plays a role in microtubule remodeling during neurite extension. Important for microtubule formation and/or stabilization. |
References |
|---|
| Bischoff, J.R. et al. (1998) EMBO J 17, 3052-65. Hauf, S. et al. (2003) J Cell Biol 161, 281-94. Walter, A.O. et al. (2000) Oncogene 19, 4906-16. Zhou, H. et al. (1998) Nat Genet 20, 189-93. |
Specification |
|
|---|---|
| Aliases | AIK; ARK1; AURA; BTAK; STK6 |
| Entrez GeneID | 6790; |
| Swissprot | O14965 |
| WB Predicted band size | 48kDa |
| Host/Isotype | Rabbit IgG |
| Antibody Type | Primary antibody |
| Storage | Store at 4°C short term. Aliquot and store at -20°C long term. Avoid freeze/thaw cycles. |
| Species Reactivity | Human,Mouse |
| Immunogen | Peptide sequence around phosphorylation site of threonine 288 (R-T-T(p)-L-M) derived from Human Aurora A. |
| Formulation | Liquid in PBS containing 50% glycerol, 0.5% BSA and 0.02% sodium azide. |
Application |
|
|---|---|
| WB | 1/500-1/1000 |
| IHC | 1/50-1/100 |
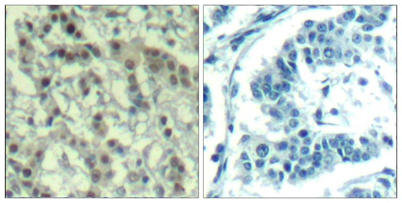
Product Image
- Western blot analysis of extracts from HT29 cells, treated with Hydroxyurea or calf intestinal phosphatase (CIP), using Aurora A (phospho-Thr288) Antibody P40314.
- Immunohistochemical analysis of paraffin-embedded human breast carcinoma tissue using Aurora A(Phospho-Thr288) Antibody P40314(left) or the same antibody preincubated with blocking peptide(right).
For Reseach Only
Application Key:WB - Western Blot | IHC - Immunohistochemistry | ICC - Immunocytochemistry | FCM - Flow Cytometry | ELISA - Enzyme-linked Immunosorbent Assay | IP - Immunoprecipitation
#P40314
相关产品

微信/QQ登录


首页
