提醒成功
搜索
Rabbit Polyclonal Antibody to eIF4B(phospho-Ser422)
-
货号:
P40311 -
别名:
-
应用:
WB,IHC -
反应种属:
Human,Mouse,Rat -
抗体类型:
Primary antibody -
Swissprot:
P23588 -
规格:
-
数量:
-+ -
说明书:
目录价¥2180
Rabbit Polyclonal Antibody to eIF4B(phospho-Ser422)
Description |
|---|
Required for the binding of mRNA to ribosomes. Functions in close association with EIF4-F and EIF4-A. Binds near the 5'-terminal cap of mRNA in presence of EIF-4F and ATP. Promotes the ATPase activity and the ATP-dependent RNA unwinding activity of both EIF4-A and EIF4-F. |
References |
|---|
| Gingras, A.C. et al. (2001) Genes Dev. 15, 807-826.Duncan, R. and Hershey, J.W. (1985) J. Biol. Chem. 260, 5493-5497.Duncan, R.F. and Hershey, J.W. (1989) J. Cell Biol. 109, 1467-1481. |
Specification |
|
|---|---|
| Entrez GeneID | 1975; |
| Swissprot | P23588 |
| WB Predicted band size | 80kDa |
| Host/Isotype | Rabbit IgG |
| Antibody Type | Primary antibody |
| Storage | Store at 4°C short term. Aliquot and store at -20°C long term. Avoid freeze/thaw cycles. |
| Species Reactivity | Human,Mouse,Rat |
| Immunogen | Peptide sequence around phosphorylation site of Serine 422 (T-G-S(p)-E-S) derived from Human eIF4B. |
| Formulation | Liquid in PBS containing 50% glycerol, 0.5% BSA and 0.02% sodium azide. |
Application |
|
|---|---|
| WB | 1/500-1/1000 |
| IHC | 1/50-1/100 |
Product Image
- Western blot analysis of extracts from Hela cells untreated or treated with EGF using eIF4B(phospho-Ser422) Antibody P40311.
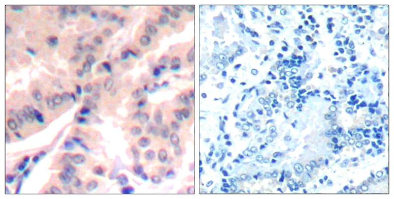
- Immunohistochemical analysis of paraffin-embedded human lung carcinomatissue using eIF4B(Phospho-Ser422) Antibody P40311(left) or the same antibody preincubated with blocking peptide(right).
For Reseach Only
Application Key:WB - Western Blot | IHC - Immunohistochemistry | ICC - Immunocytochemistry | FCM - Flow Cytometry | ELISA - Enzyme-linked Immunosorbent Assay | IP - Immunoprecipitation
#P40311
相关产品

微信/QQ登录


首页
