提醒成功
搜索
Rabbit Polyclonal Antibody to eIF2a(phospho-Ser49)
-
货号:
P40309 -
别名:
Eukaryotic translation initiation factor 2 subunit alpha -
应用:
WB,IHC,IF -
反应种属:
Human,Mouse,Rat -
抗体类型:
Primary antibody -
Swissprot:
P05198 -
规格:
-
数量:
-+ -
说明书:
目录价¥2180
Rabbit Polyclonal Antibody to eIF2a(phospho-Ser49)
Description |
|---|
Functions in the early steps of protein synthesis by forming a ternary complex with GTP and initiator tRNA. This complex binds to a 40S ribosomal subunit, followed by mRNA binding to form a 43S preinitiation complex. Junction of the 60S ribosomal subunit to form the 80S initiation complex is preceded by hydrolysis of the GTP bound to eIF-2 and release of an eIF-2-GDP binary complex. In order for eIF-2 to recycle and catalyze another round of initiation, the GDP bound to eIF-2 must exchange with GTP by way of a reaction catalyzed by eIF-2B. |
References |
|---|
| Kimball, S.R. (1999) Int. J. Biochem. Cell Biol. 31, 25-29. De Haro, C. et al. (1996) FASEB J. 10, 1378-1387. Sheikh, M.S. and Fornace Jr., A.J. (1999) Oncogene 18, 6121-6128. Cheshire, J.L. et al. (1999) J. Biol. Chem. 274, 4801-4806. |
Specification |
|
|---|---|
| Aliases | Eukaryotic translation initiation factor 2 subunit alpha |
| Entrez GeneID | 1965; |
| Swissprot | P05198 |
| WB Predicted band size | 38kDa |
| Host/Isotype | Rabbit IgG |
| Antibody Type | Primary antibody |
| Storage | Store at 4°C short term. Aliquot and store at -20°C long term. Avoid freeze/thaw cycles. |
| Species Reactivity | Human,Mouse,Rat |
| Immunogen | Peptide sequence around phosphorylation site of Serine 49 (L-L-S(p)-E-L) derived from Human eIF2a. |
| Formulation | Liquid in PBS containing 50% glycerol, 0.5% BSA and 0.02% sodium azide. |
Application |
|
|---|---|
| WB | 1/500-1/1000 |
| IHC | 1/50-1/100 |
| IF/ICC | 1/100-1/200 |
Product Image
- Western blot analysis of extracts from Hela cells untreated or treated with starvation using eIF2a(phospho-Ser49) Antibody P40309.
- Immunofluorescence staining of methanol-fixed Hela cells using eIF2a(phospho-Ser49) Antibody P40309.
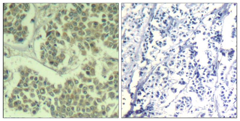
- Immunohistochemical analysis of paraffin-embedded human breast carcinoma tissue using eIF2α (Phospho-Ser49) Antibody P40309 (left) or the same antibody preincubated with blocking peptide (right).
- Immunohistochemical analysis of paraffin-embedded human lung carcinoma tissue, using eIF2α (Phospho-Ser49) Antibody P40309.
For Reseach Only
Application Key:WB - Western Blot | IHC - Immunohistochemistry | ICC - Immunocytochemistry | FCM - Flow Cytometry | ELISA - Enzyme-linked Immunosorbent Assay | IP - Immunoprecipitation
#P40309
相关产品

微信/QQ登录


首页
