提醒成功

搜索
Rabbit Polyclonal Antibody to IkB-b(Phospho-Ser23)
-
货号:
P40275 -
别名:
I-kappa-B-beta; IKB-B; IKBB; NF-kappa-BIB; NF-kappaB inhibitor beta -
应用:
WB,IHC -
反应种属:
Human,Mouse,Rat -
抗体类型:
Primary antibody -
Swissprot:
Q15653 -
规格:
-
数量:
-+ -
说明书:
目录价¥2180

Rabbit Polyclonal Antibody to IkB-b(Phospho-Ser23)
Description |
---|
Inhibits NF-kappa-B by complexing with and trapping it in the cytoplasm. However, the unphosphorylated form resynthesized after cell stimulation is able to bind NF-kappa-B allowing its transport to the nucleus and protecting it to further IKBA-dependent inactivation. Association with inhibitor kappa B-interacting NKIRAS1 and NKIRAS2 prevent its phosphorylation rendering it more resistant to degradation, explaining its slower degradation. |
References |
---|
Shirane, M. et al. (1999) J Biol Chem 274, 28169-28174. DiDonato J, et al. (1996) Mol Cell Biol 16(4): 1295-304 |
Specification |
|
---|---|
Aliases | I-kappa-B-beta; IKB-B; IKBB; NF-kappa-BIB; NF-kappaB inhibitor beta |
Entrez GeneID | 4793; |
Swissprot | Q15653 |
WB Predicted band size | 48kDa |
Host/Isotype | Rabbit IgG |
Antibody Type | Primary antibody |
Storage | Store at 4°C short term. Aliquot and store at -20°C long term. Avoid freeze/thaw cycles. |
Species Reactivity | Human,Mouse,Rat |
Immunogen | Peptide sequence around phosphorylation site of serine 23 (L-G-S(p)-L-G) derived from Human IkB-b. |
Formulation | Purified antibody in PBS with 0.05% sodium azide. |
Application |
|
---|---|
WB | 1/500-1/1000 |
IHC | 1/50-1/100 |
Product Image
- Western blot analysis of extracts from HT29 cells, treated with CA or calf intestinal phosphatase (CIP), using IκB-β (Phospho-Ser23) Antibody P40275.
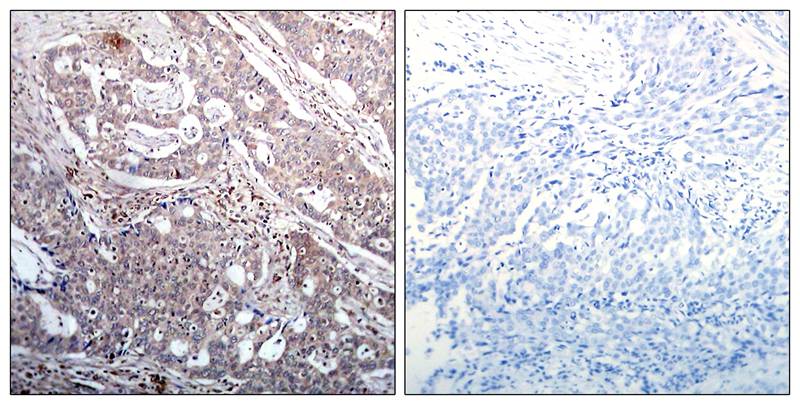
- Immunohistochemical analysis of paraffin-embedded human breast carcinoma tissue using IkB-b(Phospho-Ser23) Antibody P40275(left) or the same antibody preincubated with blocking peptide(right).
For Reseach Only
Application Key:WB - Western Blot | IHC - Immunohistochemistry | ICC - Immunocytochemistry | FCM - Flow Cytometry | ELISA - Enzyme-linked Immunosorbent Assay | IP - Immunoprecipitation
#P40275

相关产品


