提醒成功

搜索
Rabbit Polyclonal Antibody to GSK3α/β(Phospho-Tyr279/216)
-
货号:
P40273 -
别名:
Factor A; GSK-3 alpha/beta; kinase GSK3-alpha/beta -
应用:
WB,IHC,IF -
反应种属:
Human,Mouse,Rat -
抗体类型:
Primary antibody -
Swissprot:
P49840 -
规格:
-
数量:
-+ -
说明书:
目录价¥2180

Rabbit Polyclonal Antibody to GSK3α/β(Phospho-Tyr279/216)
Description |
---|
Participates in the Wnt signaling pathway. Implicated in the hormonal control of several regulatory proteins including glycogen synthase, MYB and the transcription factor JUN. Phosphorylates JUN at sites proximal to its DNA-binding domain, thereby reducing its affinity for DNA. Phosphorylates MUC1 in breast cancer cells, and decreases the interaction of MUC1 with CTNNB1/beta-catenin. Phosphorylates CTNNB1/beta-catenin. |
References |
---|
Chin PC, et al. Brain Res Mol Brain Res 2005 Jun 13; 137(1-2): 193-201 Takahashi-Yanaga F, et al. Biochem Biophys Res Commun 2004 Apr 02; 316(2): 411-415 Fan G, et al. J Biol Chem 2003 Dec 26; 278(52): 52432-52436 Liao X, et al. Mol Cancer Ther 2003 Nov; 2(11): 1215-1222 |
Specification |
|
---|---|
Aliases | Factor A; GSK-3 alpha/beta; kinase GSK3-alpha/beta |
Entrez GeneID | 2931; |
Swissprot | P49840 |
WB Predicted band size | 46, 51kDa |
Host/Isotype | Rabbit IgG |
Antibody Type | Primary antibody |
Storage | Store at 4°C short term. Aliquot and store at -20°C long term. Avoid freeze/thaw cycles. |
Species Reactivity | Human,Mouse,Rat |
Immunogen | Peptide sequence around phosphorylation site of tyrosine 279/216 (V-S-Y(p)-I-C) derived from Human GSK3α/β. |
Formulation | Purified antibody in PBS with 0.05% sodium azide. |
Application |
|
---|---|
WB | 1/500-1/1000 |
IHC | 1/50-1/100 |
IF/ICC | 1/100-1/200 |
Product Image
- Western blot analysis of extracts from 293 cells untreated or treated with PMA using GSK3α/β(Phospho-Tyr279/216) Antibody P40273.
- Immunofluorescence staining of methanol-fixed Hela cells using GSK3α/β(Phospho-Tyr279/216) Antibody P40273.
- Immunofluorescence staining of methanol-fixed MEF cells using GSK3α/β(Phospho-Tyr279/216) Antibody P40273.
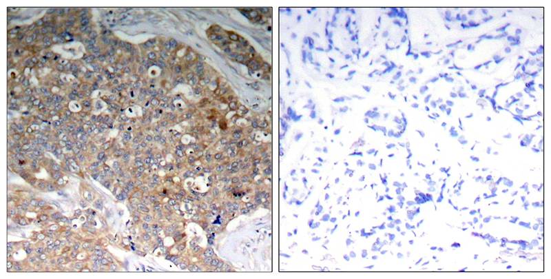
- Immunohistochemical analysis of paraffin-embedded human breast carcinoma tissue using GSK3α/β(Phospho-Tyr279/216) Antibody P40273 (left) or the same antibody preincubated with blocking peptide (right).
For Reseach Only
Application Key:WB - Western Blot | IHC - Immunohistochemistry | ICC - Immunocytochemistry | FCM - Flow Cytometry | ELISA - Enzyme-linked Immunosorbent Assay | IP - Immunoprecipitation
#P40273

相关产品


