提醒成功
搜索
Rabbit Polyclonal Antibody to PKCd(Phospho-Ser645)
-
货号:
P40270 -
别名:
KPCD; PKC-delta; PRKCD; kinase PKC-delta; nPKC-delta -
应用:
WB,IHC -
反应种属:
Human,Rat -
抗体类型:
Primary antibody -
Swissprot:
Q05655 -
规格:
-
数量:
-+ -
说明书:
目录价¥2180
Rabbit Polyclonal Antibody to PKCd(Phospho-Ser645)
Description |
|---|
This is calcium-independent, phospholipid-dependent, serine- and threonine-specific enzyme. PKC is activated by diacylglycerol which in turn phosphorylates a range of cellular proteins. PKC also serves as the receptor for phorbol esters, a class of tumor promoters. May play a role in antigen-dependent control of B-cell function. Phosphorylates MUC1 in the C-terminal and regulates the interaction between MUC1 and beta-catenin. |
References |
|---|
| Kei Sakamoto, et,al. (2003) Am J Physiol Endocrinol Metab ; 285: E1081 - E1088. Ling Zhang, et,al. (2004) J. Biol. Chem ; 279: 28315 - 28319. Kristof Van Kolen et,al. (2006) FEBS J ; 273: 1843 - 1854. Martin Villalba, et,al. (2002) J. Cell Biol ; 157: 253. |
Specification |
|
|---|---|
| Aliases | KPCD; PKC-delta; PRKCD; kinase PKC-delta; nPKC-delta |
| Entrez GeneID | 5580; |
| Swissprot | Q05655 |
| WB Predicted band size | 78kDa |
| Host/Isotype | Rabbit IgG |
| Antibody Type | Primary antibody |
| Storage | Store at 4°C short term. Aliquot and store at -20°C long term. Avoid freeze/thaw cycles. |
| Species Reactivity | Human,Rat |
| Immunogen | Peptide sequence around phosphorylation site of serine 645 (R-L-S(p)-Y-S) derived from Human PKCd. |
| Formulation | Liquid in PBS containing 50% glycerol, 0.5% BSA and 0.02% sodium azide. |
Application |
|
|---|---|
| WB | 1/500-1/1000 |
| IHC | 1/50-1/100 |
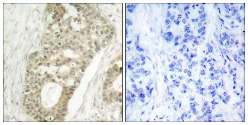
Product Image
- Western blot analysis of extracts from PC12 cells untreated or treated with PMA using PKCd(Phospho-Ser645) Antibody P40270.
- Immunohistochemical analysis of paraffin-embedded human breast carcinoma tissue using PKCd(Phospho-Ser645) Antibody P40270(left) or the same antibody preincubated with blocking peptide(right).
For Reseach Only
Application Key:WB - Western Blot | IHC - Immunohistochemistry | ICC - Immunocytochemistry | FCM - Flow Cytometry | ELISA - Enzyme-linked Immunosorbent Assay | IP - Immunoprecipitation
#P40270
相关产品

微信/QQ登录


首页
