提醒成功
搜索
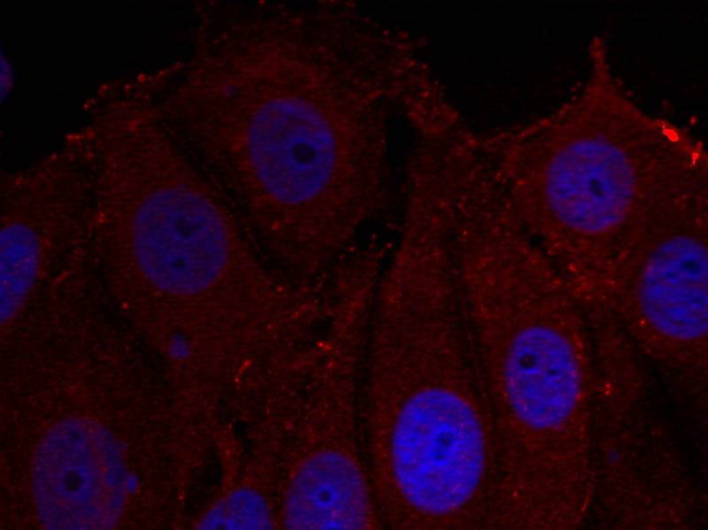
Rabbit Polyclonal Antibody to a-Synuclein(Phospho-Tyr133)
-
货号:
P40261 -
别名:
NACP; SYN; SYUA; alpha-synuclein; -
应用:
WB,IF -
反应种属:
Human,Mouse,Rat -
抗体类型:
Primary antibody -
Swissprot:
P37840 -
规格:
-
数量:
-+ -
说明书:
目录价¥2180
Rabbit Polyclonal Antibody to a-Synuclein(Phospho-Tyr133)
Description |
|---|
SncA is a member of the synuclein family of structurally related proteins that are prominently expressed in the central nervous system, which also includes beta- and gamma-synuclein. Synucleins are abundantly expressed in the brain and SncA and Snc-Beta inhibit phospholipase D2 selectively. SncA may serve to integrate presynaptic signaling and membrane trafficking. Aggregated SncA proteins form brain lesions that are hallmarks of neurodegenerative synucleinopathies. Defects in SncA play a role in the pathogenesis of Parkinson disease. SncA peptides are a major component of amyloid plaques in the brains of patients with Alzheimer disease. SncA shares 95% sequence homology with rat SncA. Rat SncA is specifically expressed in brain and is associated with synaptosomal membranes in neurons |
References |
|---|
| Kozikowski AP, et al. (2006)ChemMedChem. 1(2):256-66.Jakowec MW,et al.(2001)Dev Neurosci.23(2):91-9.El-Agnaf OM,et al.(1998)FEBS Lett. 440(1-2):67-70. |
Specification |
|
|---|---|
| Aliases | NACP; SYN; SYUA; alpha-synuclein; |
| Entrez GeneID | 6622; |
| Swissprot | P37840 |
| WB Predicted band size | 18kDa |
| Host/Isotype | Rabbit IgG |
| Antibody Type | Primary antibody |
| Storage | Store at 4°C short term. Aliquot and store at -20°C long term. Avoid freeze/thaw cycles. |
| Species Reactivity | Human,Mouse,Rat |
| Immunogen | Peptide sequence around phosphorylation site of tyrosine 133 (E-G-Y(p)-Q-D) derived from Human a-Synuclein. |
| Formulation | Liquid in PBS containing 50% glycerol, 0.5% BSA and 0.02% sodium azide. |
Application |
|
|---|---|
| WB | 1/500-1/1000 |
| IF/ICC | 1/100-1/200 |
Product Image
For Reseach Only
Application Key:WB - Western Blot | IHC - Immunohistochemistry | ICC - Immunocytochemistry | FCM - Flow Cytometry | ELISA - Enzyme-linked Immunosorbent Assay | IP - Immunoprecipitation
#P40261
相关产品

微信/QQ登录


首页
