提醒成功
搜索
Rabbit Polyclonal Antibody to p62Dok(phospho-Tyr362)
-
货号:
P40253 -
别名:
DOK1 -
应用:
WB,IHC -
反应种属:
Human,Mouse,Rat -
抗体类型:
Primary antibody -
Swissprot:
Q99704 -
规格:
-
数量:
-+ -
说明书:
目录价¥2180
Rabbit Polyclonal Antibody to p62Dok(phospho-Tyr362)
Description |
|---|
DOK proteins are enzymatically inert adaptor or scaffolding proteins. They provide a docking platform for the assembly of multimolecular signaling complexes. DOK1 appears to be a negative regulator of the insulin signaling pathway. Modulates integrin activation by competing with talin for the same binding site on ITGB3. |
References |
|---|
| Zhou Songyang, et al. (2001) J. Biol. Chem ; 276: 2459 - 2465. Jean-Guy N |
Specification |
|
|---|---|
| Aliases | DOK1 |
| Entrez GeneID | 1796; |
| Swissprot | Q99704 |
| WB Predicted band size | 62kDa |
| Host/Isotype | Rabbit IgG |
| Antibody Type | Primary antibody |
| Storage | Store at 4°C short term. Aliquot and store at -20°C long term. Avoid freeze/thaw cycles. |
| Species Reactivity | Human,Mouse,Rat |
| Immunogen | Peptide sequence around phosphorylation site of tyrosine 362 (P-I-Y(p)-D-E) derived from Human p62Dok. |
| Formulation | Liquid in PBS containing 50% glycerol, 0.5% BSA and 0.02% sodium azide. |
Application |
|
|---|---|
| WB | 1/500-1/1000 |
| IHC | 1/50-1/100 |
Product Image
- Western blot analysis of extracts from Jurkat cells untreated or treated with insulin using p62Dok(phospho-Tyr362) Antibody P40253.
- Western blot analysis of extracts from JK cells, treated with G-CSF or calf intestinal phosphatase (CIP), using p62Dok (phospho-Tyr362) Antibody P40253.
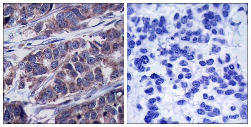
- Immunohistochemical analysis of paraffin-embedded human breast carcinoma tissue using p62Dok(Phospho-Tyr362) Antibody P40253(left) or the same antibody preincubated with blocking peptide(right).
For Reseach Only
Application Key:WB - Western Blot | IHC - Immunohistochemistry | ICC - Immunocytochemistry | FCM - Flow Cytometry | ELISA - Enzyme-linked Immunosorbent Assay | IP - Immunoprecipitation
#P40253
相关产品

微信/QQ登录


首页
